精巢切片

精巢切片 显微玻片 教学使用 生物切片标本
图片尺寸750x750
组织胚胎学课件-男性生殖系统ppt
图片尺寸1080x810
男性生殖系统
图片尺寸967x785
组织胚胎学课件组织胚胎学课件16-女性生殖系统ppt
图片尺寸1080x810
800倍精巢局部实拍图片
图片尺寸640x480
0906 _ 图片_百度百科
图片尺寸394x295
蝗虫精巢 - 动物学-生物切片-产品中心 - 生物切片标本_新乡市红树林
图片尺寸600x372
精巢切片 10片/盒 生物切片标本 中小学生生物显微玻片
图片尺寸800x800
蛙精巢切片
图片尺寸600x444
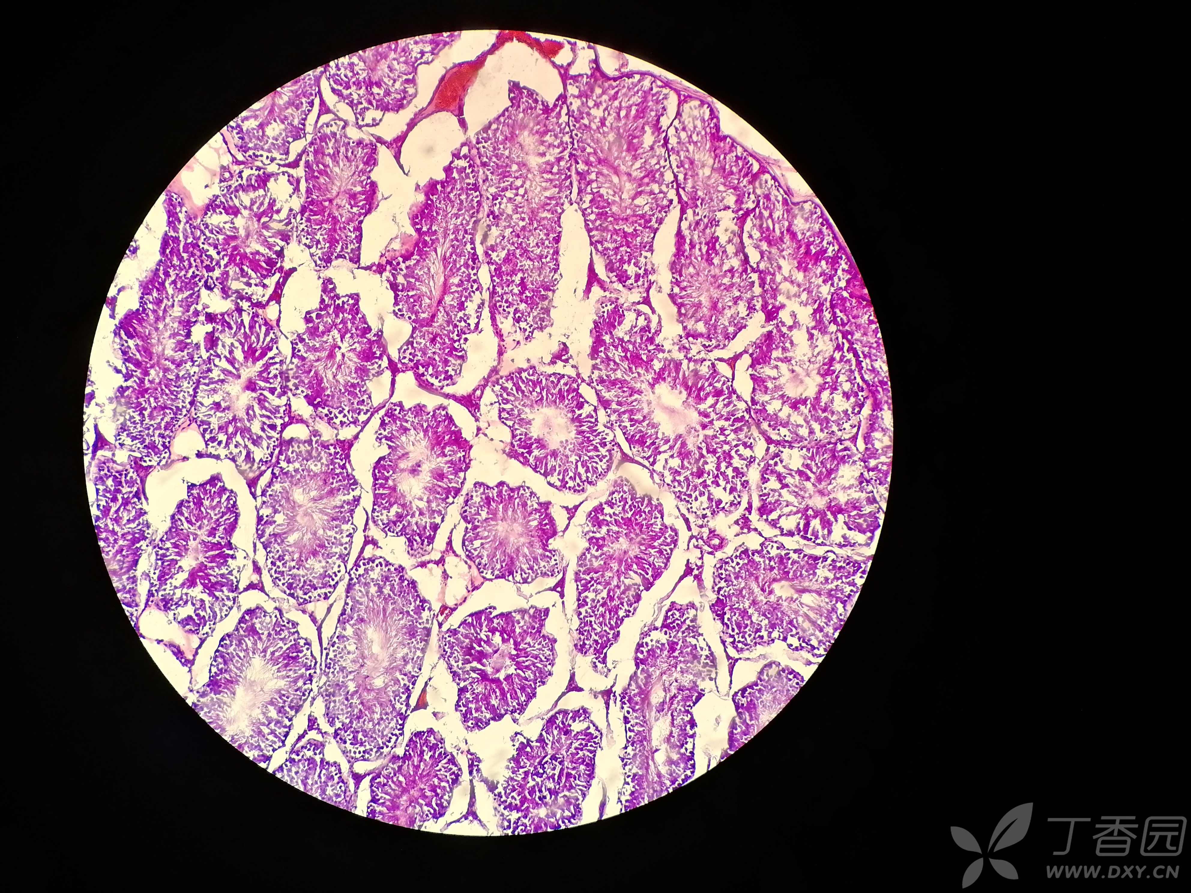
丁香园论坛
图片尺寸3968x2976
动物解剖学之 生殖系统ppt
图片尺寸1080x810
睾丸活检技术
图片尺寸685x527
图 海地瓜精巢不同发育阶段
图片尺寸3150x2096
组织胚胎学课件组织胚胎学课件15-男性生殖系统ppt
图片尺寸1080x810
睾丸.细精管
图片尺寸1200x923
显微镜下睾丸及附睾载玻片
图片尺寸1200x801
兔精巢切片
图片尺寸500x477
组胚切片 #睾丸 #卵巢
图片尺寸1080x1439
发育生物学02-精子发生ppt
图片尺寸1080x810
输精管显微照相
图片尺寸801x1200