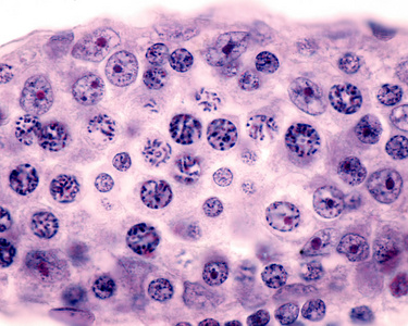
精母细胞

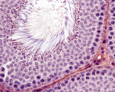
生精细胞与精子发生青春期前,生精小管内仅有支持细胞和精原细胞.
图片尺寸967x785
精母细胞图片
图片尺寸375x300
初级精母细胞
图片尺寸963x628
精母细胞图片
图片尺寸375x300
初级精母细胞
图片尺寸1400x1060
初级精母细胞
图片尺寸1080x810
精原细胞(sprmatogonia).ppt
图片尺寸1152x864
男性的睾丸生产精子,精子是精原细胞发育成精母细胞,这个过程需要大约
图片尺寸1080x600
精母细胞图片
图片尺寸375x300
初级精母细胞 次级精母细胞 支持细胞 精子细胞 类肌细胞 精原细胞 间
图片尺寸1080x810
高中生物,这道题为什么不能选b,第二张图解中来自同一个次级精母细胞
图片尺寸1047x753
精子细胞 精子 生 精 过 程 次级 精母 细胞 初级精母细胞 精原细胞
图片尺寸1080x810
直接涂片可以看见睾丸组织内的精原细胞,精母细胞,精子细胞,支持细胞
图片尺寸955x533
第二章 精子的发生 精子 精子细胞 次级精母细胞 初级精母细胞 精原
图片尺寸1080x810
生精细胞 (spermatogenic cell ) 精原细胞 精 子 发 生 初级精母细胞
图片尺寸1080x810
初级精母细胞是指一个过程还是第一次减数分裂中的哪一个细胞
图片尺寸380x379
减 数 第 一 次 分 裂 减 数 第 二 次 分 裂 dna 复 制 精原 细胞 1
图片尺寸1080x810
次分 裂 精 原胞 初细精级细母 胞 数 减 二第次 分 裂 级精母细胞
图片尺寸1080x810
细胞经过有丝分裂后成为初级精母细胞再经减数分裂为两个次级精母细胞
图片尺寸581x828
20202021学年高一下学期生物人教版2019必修2211减数分裂和受精作用
图片尺寸860x645