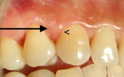
纤维性牙龈瘤

牙龈长个包包是怎么回事呢?去医院看了,医生说是上火!真的只是上火吗?
图片尺寸480x640
如果是牙龈瘤,是不是一定要拔牙才可以治?该怎麼办啊?
图片尺寸300x400
口腔牙龈瘤
图片尺寸3000x4000
治疗经过:一个朋友亲戚,未见患者,发来照片,病检示 恶性黑色素瘤
图片尺寸1620x1080
组图是牙龈瘤患者,有关此病的描述下列哪项是错误的
图片尺寸185x475
牙龈旁边长了一个红疙瘩,怎么回事?
图片尺寸768x1024
我的下牙床牙龈处长了包,挺硬的,但是不痛,请问这是怎么回事,有没有
图片尺寸768x1024
牙齿 上部牙龈上长了个小疙瘩 是硬的 舔它会疼 是怎么回事?有图
图片尺寸600x318
求组,老婆这个是不是牙龈瘤
图片尺寸640x853
小孩牙龈上长了肉疙瘩 - 微医(挂号网)
图片尺寸640x640
求组,老婆这个是不是牙龈瘤
图片尺寸640x853
牙龈瘤微创摘除3例
图片尺寸420x262
我不确定只是孕期单纯的牙龈增生还是牙龈瘤?也不知道该怎么去处勒忖
图片尺寸960x720
罕见巨大牙龈瘤一例
图片尺寸665x412
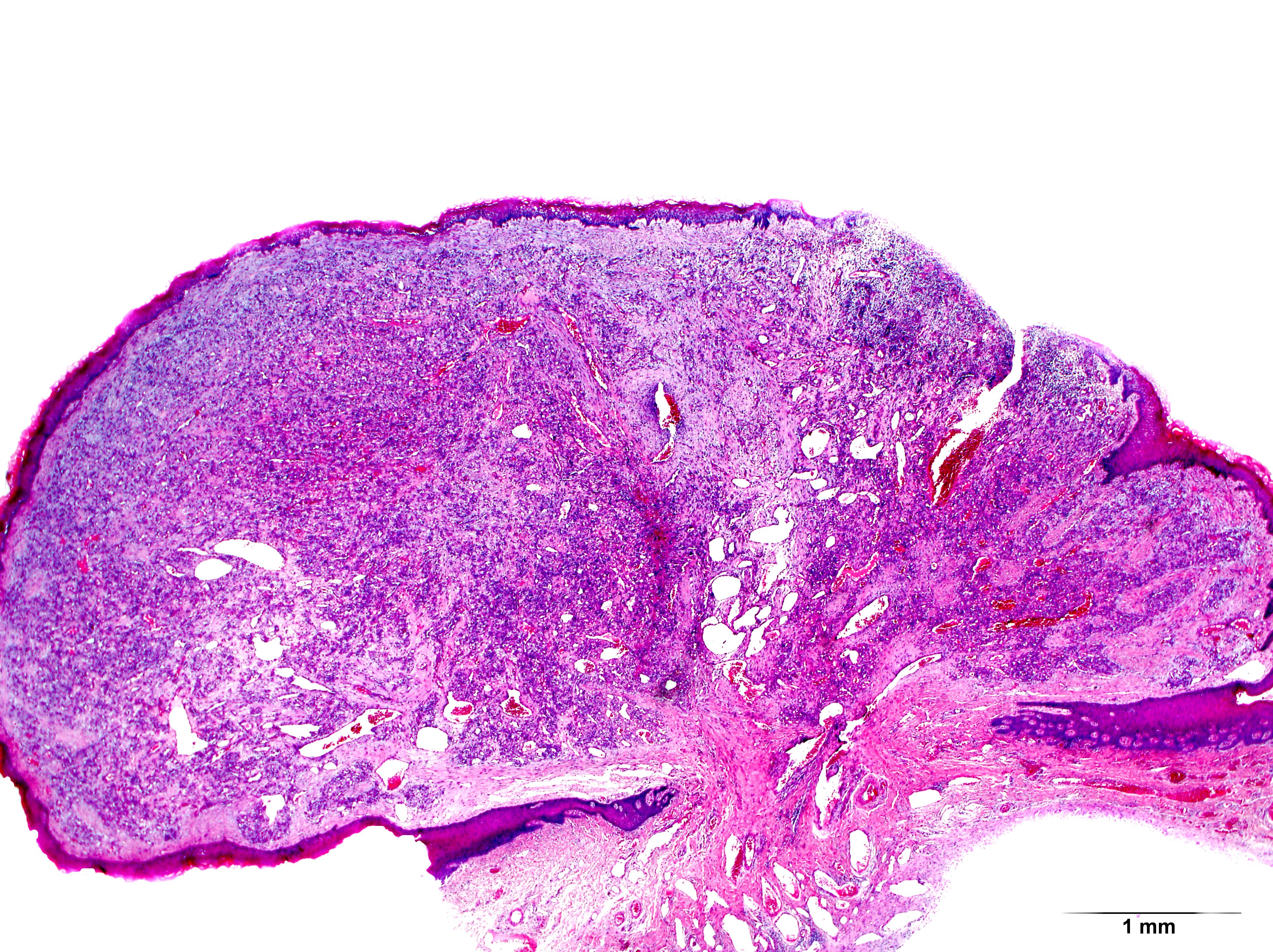
牙龈瘤
图片尺寸4139x3095
本来最疼痛的上颌后牙都不疼痛了.牙龈瘤也吸收了!
图片尺寸360x540
药物性牙龈增生伴牙龈瘤一例
图片尺寸680x513
我的牙床怎么了是牙龈瘤吗
图片尺寸670x502
组图是牙龈瘤患者,有关此病的描述不正确的是()第3题点击查看答案上颌
图片尺寸205x136
牙龈瘤是肿瘤这是一个惊天大骗局
图片尺寸345x225