纤维条索

双肺多发纤维条索
图片尺寸1080x1439
胸部ct上有纤维条索样影,情况严重吗?
图片尺寸449x466
双上肺可见纤维条索状影
图片尺寸545x542
干燥综合征 肺纤维条索影是否严重 请各位经验丰富的老师看一下
图片尺寸3120x4160
该征主要见于肺转移瘤,其次也见于肺结节病和先天性肺小叶周围纤维化.
图片尺寸639x231
纤维上皮瘤
图片尺寸1000x689
肺纤维化病变影——弥漫性特发性肺间质纤维化.
图片尺寸300x400
窦性心律,胸部ct提示双肺散在多发微小结节灶,右肺中叶少许纤维条索灶
图片尺寸831x367
肺ct报告有这些词你就放心吧1,纤维条索影多为肺内炎症后遗留下来的
图片尺寸1877x1280
肺部纤维条索灶在ct上什么表现代表了什么意义医生讲解
图片尺寸1024x576
再把这个写成肺纤维条索影主任就要发火了
图片尺寸446x353
硬化治疗微观图,在曲张静脉内注射硬化剂,静脉完全形成纤维条索
图片尺寸640x415
呈巢状,条索状,边界清楚,周边细胞栅栏状排列,与胶原纤维间可见裂隙
图片尺寸2224x1558
云影胸心组知识要点及病例汇总134
图片尺寸1048x904
再把这个写成肺纤维条索影主任就要发火了
图片尺寸486x358
再把这个写成肺纤维条索影主任就要发火了
图片尺寸717x318
图21 masson染色:巴尔干肾病:红色箭头:肾间质纤维化,但未见明显炎症
图片尺寸673x443
南方医科大学 病理 考试必备 肉芽组织1,成纤维细胞和毛细血管增生活
图片尺寸1080x810
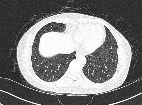
肺ct提示右肺尖纤维条索,肺小结节及纵膈淋巴结肿大支气管镜淋巴结
图片尺寸1800x1367
以疏松的网状纤维为支架,由b淋巴细胞和浆细胞等组成,与髓窦相间成索
图片尺寸665x569