细胞线粒体活体染色

线粒体染色试剂盒可以标记活细胞中的线粒体,使之带绿色荧光(ex/em=
图片尺寸452x354
实验五,线粒体的超活染色与观察ppt
图片尺寸1080x810
2 细胞器——系统内的分工合作》盐城中学 王磊 (共19张ppt)
图片尺寸720x540
hela 细胞用smartcell线粒体染色试剂盒orange染色后进行成像分析
图片尺寸549x439
染色的cos细胞(蓝色),微管(绿色),线粒体(红色)和上皮钙黏素(灰色)
图片尺寸1430x954
线粒体和液泡系的超活染色与观察.docx
图片尺寸792x1120
丁香园论坛
图片尺寸1080x810
线粒体和叶绿体作为细胞器,都曾经是自由生活的细胞.
图片尺寸600x338
实验二 线粒体和液泡系的超活体染色ppt
图片尺寸1080x810
green染料选择性地染色活细胞的线粒体(a),并且对磷酸化的线粒体膜
图片尺寸450x450
红色线粒体染色的特征:cytofix™red线粒体染色剂增强的细胞维持
图片尺寸600x271
线粒体 未染色细胞
图片尺寸1080x810
液泡系和线粒体的活体染色
图片尺寸640x480
洋葱内表皮染色情况.
图片尺寸1600x1200
者们分别对线粒体,内质网(er)和高尔基体(golgiapparatus)进行染色
图片尺寸548x560
(a,d,g,j)原卟啉ix(ppix);(b,e,h,k)线粒体绿色荧光蛋白(mtg);(c,f,i
图片尺寸568x413
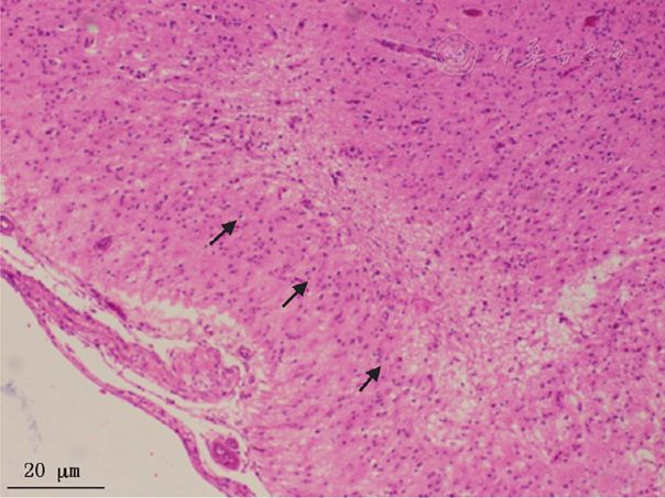
毛细血管以及星形胶质细胞增生(箭头)he染色不同类型的线粒体病可以
图片尺寸604x453
3洋葱鳞茎细胞线粒体的活体染色: 图1中性红染色洋葱内表皮细胞
图片尺寸640x480
电镜下哺乳动物肺部细胞的两个线粒体结构
图片尺寸640x480
cell stem cell:线粒体dna突变潜藏于人诱导性多能干细胞中
图片尺寸485x311