细菌性角膜炎

细菌性角膜炎 广东医学院 护理学院 李颖
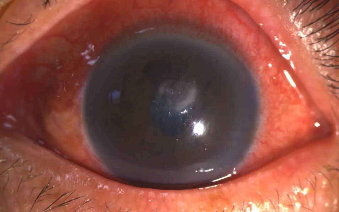
图片尺寸1080x810
细菌性角膜炎(最详症状图解)
图片尺寸600x450
院门诊部副主任陈榆医生仔细检查后,刘先生诊断为"左眼细菌性角膜炎"
图片尺寸1080x675
细菌性角膜炎(最详症状图解)
图片尺寸600x451![【求助】这种角膜炎能用激素吗? [精华]](https://imgs.wantubizhi.com/img/735A5D1F980B52A636CC46F12F2D1A7353084566304F0D7BE935BCDE33E6015AEF817609DC3FB9D7C1E04FD3C6836D89AA13807A72A965A6978BA8805C03AE368600F67C6DDA00DBBE1E99BE69C30118BCD5FBABFE1DF9397C7692E5CCEEEE9C)
【求助】这种角膜炎能用激素吗? [精华]
图片尺寸3300x2600
细菌性角膜炎(最详症状图解)
图片尺寸600x451
细菌性角膜炎(最详症状图解)
图片尺寸600x443
细菌性角膜炎(最详症状图解)
图片尺寸600x451
角膜炎的表现因不同的病因而不同,如细菌性角膜炎的起病较急,症状重
图片尺寸462x300
角膜内皮炎抗病毒和激素治疗没好转
图片尺寸3024x4032
细菌性角膜炎(最详症状图解)
图片尺寸600x451![【求助】这种角膜炎能用激素吗? [精华]](https://imgs.wantubizhi.com/img/ADDA3C5D760C6828B77B505A29D43E834CB8468BFB3C59E5AC0FBAAF4B84896231AD017D1EC2BF830779286A24B4528136416B031784116F6F35DDC7B7E0BE24CD1CB858D34C20A1E2376E86C443A6BB6B58598848E39EE2E99378C744BB2021)
【求助】这种角膜炎能用激素吗? [精华]
图片尺寸3300x2600
西贡区角膜炎专家_西贡区治疗角膜炎哪个专家好_西贡区治疗角膜炎最好
图片尺寸607x425
角膜炎注意什么 ?警惕眼药水?
图片尺寸500x375
感染性角膜炎较多见,包括细菌性角膜炎,真菌性角膜炎,单纯疱疹病毒性
图片尺寸786x539
细菌性角膜溃疡
图片尺寸3028x4030
细菌性角膜炎(最详症状图解)
图片尺寸600x455
细菌性角膜炎时我们不能直接观察到细菌,但可以得到角膜内不同层次
图片尺寸842x576
细菌性角膜炎(最详症状图解)
图片尺寸600x450
角膜炎是因角膜外伤,细菌及病毒侵入角膜引起的炎症,伴有怕光,流泪
图片尺寸400x300