结肠组织切片

结肠切片观察
图片尺寸1920x1296
里来-基础科研与临床前研究cro全覆盖平台
图片尺寸540x360
哺乳大肠结肠
图片尺寸700x514
消化管结肠he染色辨别
图片尺寸1280x960
卓普高校医学院,基础医院学院教学标本组胚学玻片显微结肠切片
图片尺寸3120x3120
1.肿瘤组织由增生的大小不一,形态各异的腺体组成.肠腺瘤2.
图片尺寸1536x2048
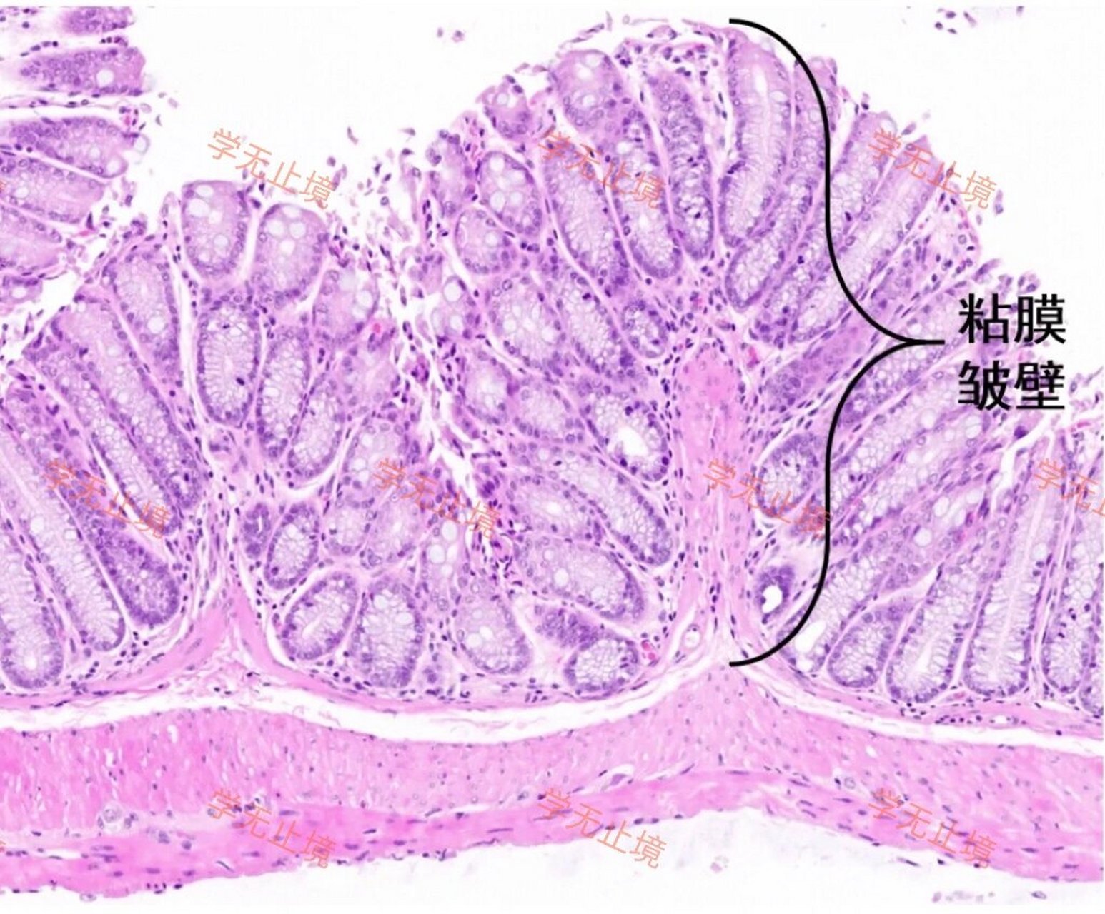
小鼠结肠he染色结构示意图
图片尺寸1263x724
《食品科学》:中国海洋大学赵雪副教授等:鳀鱼蛋白肽
图片尺寸660x623
组胚实验玻片
图片尺寸2048x1536
小鼠结肠的组织学结构 图16615是结肠远端 (靠近肛门).
图片尺寸1546x1280
10片人体消化系统组织切片he染色有食管横切大肠小肠切片结肠切片
图片尺寸1000x1000
可能涉及到敏感图片,点击后可查看 图18-9
图片尺寸2560x1920
求教~大鼠溃疡性结肠炎he染色片子怎么看(有附图)
图片尺寸1920x1440
小鼠结肠he染色图片分析
图片尺寸1280x960
小鼠结肠切片
图片尺寸400x400
大肠良性上皮性病变-锯齿状病变
图片尺寸1080x572
结肠多发息肉,可能的诊断是?|病理诊断局
图片尺寸660x677
小鼠结肠切片
图片尺寸1575x1988
丁香园
图片尺寸784x1117
【求助】帮忙看下结肠切片
图片尺寸2560x1920