结肠腺瘤形状图片

以下分别为升结肠癌,直肠癌,肠系膜转移,大网膜转移
图片尺寸1214x836
以下分别为升结肠癌,直肠癌,肠系膜转移,大网膜转移
图片尺寸812x944
结肠巨大肿瘤,双镜联合根除
图片尺寸496x434
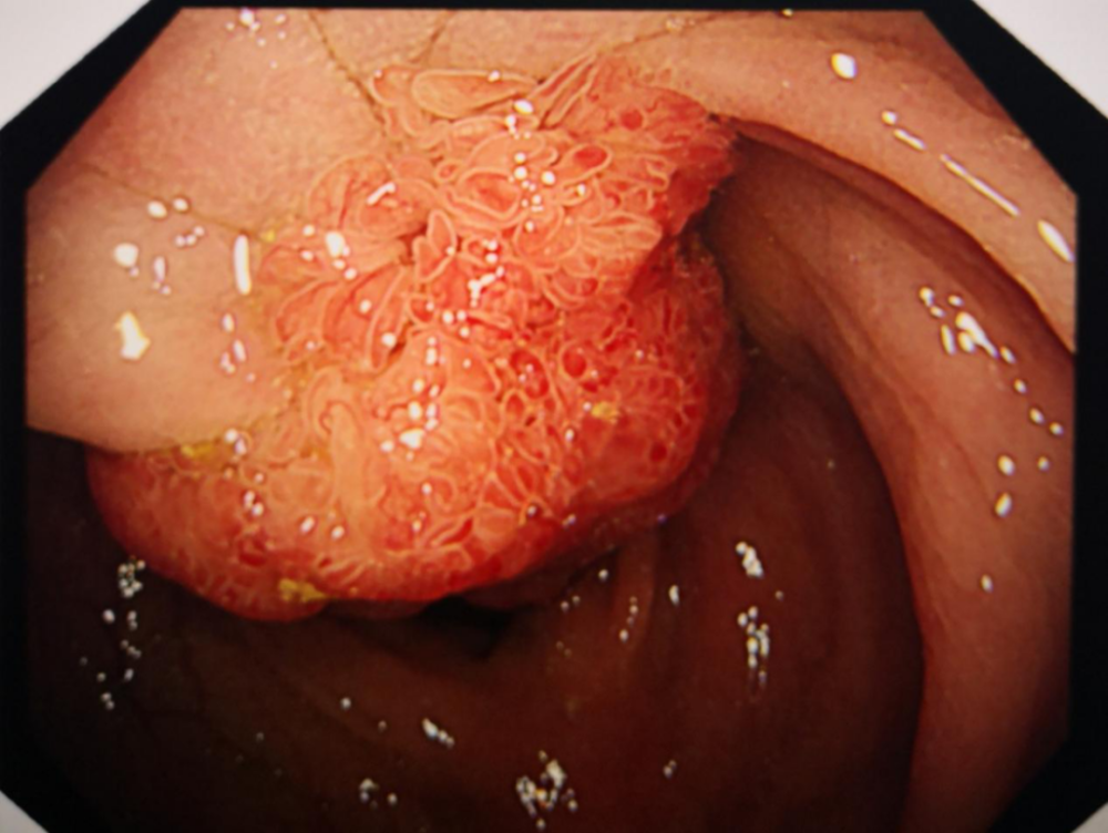
结肠腺瘤内镜图
图片尺寸750x500
结肠腺瘤能治好吗(结肠腺瘤能治好吗多少钱)_大全-幸福起航
图片尺寸2191x2000
冠县中心医院消化内科成功对 "巨大结肠腺瘤并高级别瘤变" 患者行结肠
图片尺寸550x500
结肠侧向发育型肿瘤 - 好大夫在线
图片尺寸1200x1600
腹腔镜下结肠肿瘤术前定位很重要!
图片尺寸640x853
hgin(pit pattern iv型 cf-h260ai)图35 结肠管状腺瘤(pit pattern
图片尺寸1080x471
(pit pattern iiil型)结肠管状腺瘤图15(pit pattern iiil型)结肠管状
图片尺寸1080x474
病例结肠多发性息肉分次切除内镜下分片黏膜切除术切除巨大息肉一枚
图片尺寸1000x752
结肠多发癌
图片尺寸1024x768
升结肠管状腺瘤伴低级别讨论病例山东省消化道早癌病理群
图片尺寸1920x1080
结肠镜检查显示乙状结肠环状肿瘤( ).
图片尺寸565x254
结肠恶性淋巴瘤nbi放大诊断图谱
图片尺寸343x298
乙状结肠腺瘤一例
图片尺寸680x448
"粑粑"变了,高龄老人查出罕见巨大结肠肿瘤,不开刀,内镜下成功摘除
图片尺寸566x272
这样的结肠早期肿瘤发现一例就是拯救一命 这个也是一位老年患者,因为
图片尺寸1552x1280
结肠巨大肿瘤,双镜联合根除
图片尺寸1080x469
溃疡型结肠腺癌的大体标本
图片尺寸650x442