结节毛刺

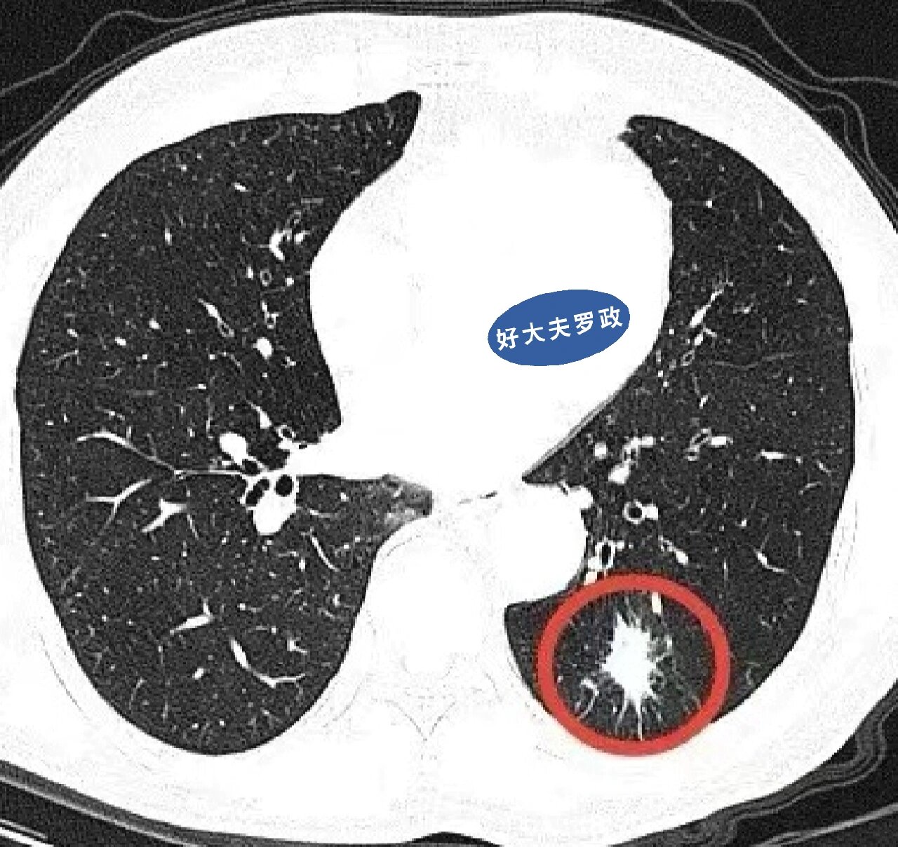
分享一个有毛刺的随访明确性质的肺结节
图片尺寸1280x1208
具有以下特征的肺结节,可能是恶性的,一定要警惕. 1,毛刺征
图片尺寸934x1024
警惕肺癌看图认识肺结节恶性特征之毛刺征
图片尺寸818x1000
肺结节99%以上不用处理 只有那些合并 毛刺征 血管征 胸膜牵拉征 动态
图片尺寸1260x2720
肺结节有毛刺别慌,医生教你读懂这些危险信号
图片尺寸960x1280
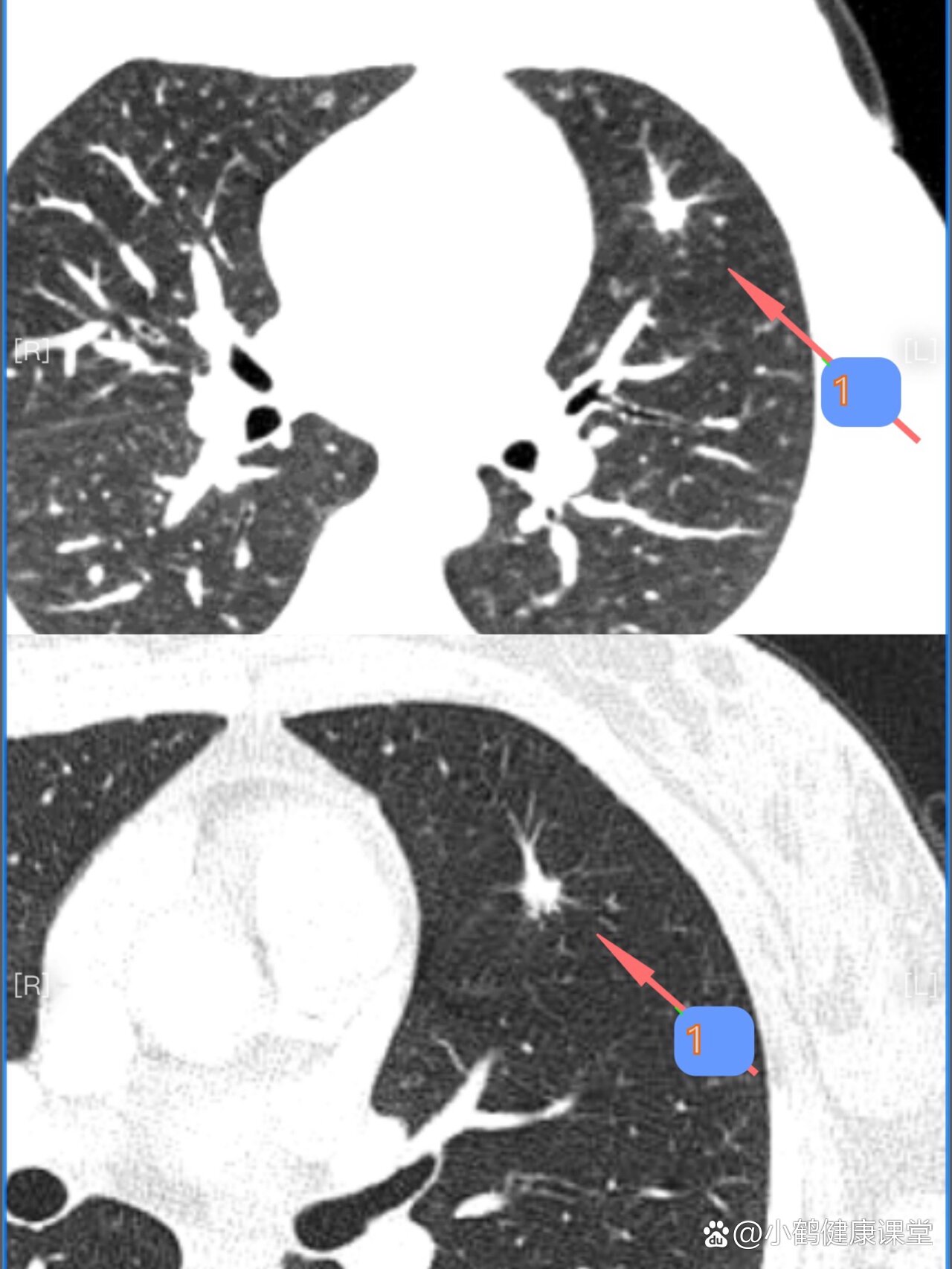
分享一个有毛刺的随访明确性质的肺结节
图片尺寸1280x1056
误诊分析随访进展的实性结节伴明显毛刺征切了却不是癌有我们疏忽的
图片尺寸1080x951
误诊分析随访进展的实性结节伴明显毛刺征切了却不是癌有我们疏忽的
图片尺寸1080x879
这个结节有毛刺 有空洞 边界不清楚
图片尺寸1080x1428
双肺多发结节最大18mm毛刺状疑恶性,别怕,待我精准诊断发定心丸
图片尺寸1024x1024
问诊分析:这肺结节毛刺,牵拉,四个月做了4次ct,1次pet多报恶性,还加
图片尺寸1080x1246
肺结节有毛刺是什么意思 肺结节上的毛刺是指结节边缘出现的小尖刺状
图片尺寸750x1000
有毛刺的实性结节不一定就是肺癌!
图片尺寸1706x1279
警惕肺癌看图认识肺结节恶性特征之毛刺征
图片尺寸1028x688
右上肺 10毫米 实性 肺结节毛刺分叶胸膜牵拉,rads 分级4类
图片尺寸540x960
每次门诊都有朋友问我:"乔主任,我这个磨玻璃结节有没有毛刺,血管,分
图片尺寸534x560
肺结节毛刺是良性的概率有多少,一文解析
图片尺寸900x1200
这肺结节毛刺,牵拉,四个月做了4次ct,1次pet多报恶性,还加穿刺!
图片尺寸1080x1248
不规则实性毛刺征8mm肺结节
图片尺寸1280x1706
长毛刺的肺结节就一定良性吗?
图片尺寸1080x1080