结节痘硬块

这颗痘痘长了一年多了,里面好像长了一块硬邦邦的东西,有时候会痒,我
图片尺寸960x1280
医生说是囊肿结节痤疮
图片尺寸1536x2560
小二不二 的想法: 额头这种结节性痘痘硬块怎么消除? - 知乎
图片尺寸3000x4000
面部有轻度结节痤疮图片
图片尺寸667x500
mmexport1575700770456(1).jpg
图片尺寸998x1146
脖子上长了颗痘痘 结果后来不知怎么了变成硬块了 还能好吗 还是需要
图片尺寸3264x2448
慎入这种完全封闭的硬块痘痘要怎么好
图片尺寸1080x810
下巴红肿硬痘痘 淋巴痘腮边痘下巴反复长痘痤暗疮疮红肿结节硬块 单
图片尺寸800x800
侧之前是一个一个小痘 反复好了又起好了又起 现在变成了一个大的硬块
图片尺寸768x1024
各位朋友,看看我脸上的这个痘痘囊肿,结节,怎么才能根治,我需要你们的
图片尺寸662x491
李教授您好,下巴右侧最近鼓了一个超级大的硬块痘痘,按着里面硬
图片尺寸540x720
背上痘痘里挤出石头一样的硬块 这是什么东西?
图片尺寸338x600
脸上起完痘痘 留下硬结 时不时总发痒 已经好多年没下去了 请问该怎么
图片尺寸612x816
跪求怎么治这种痘痘 有点硬.很大 肿起来的感觉
图片尺寸480x640
皮脂细胞堆积,使毛囊皮脂被破坏而形成豪出于表面的结节硬块,不及时
图片尺寸720x1280
胳膊上长了一个痘痘,皮肤下面还有硬块.这是怎么回事?
图片尺寸780x1040
硬结性痤疮(长痘后留下硬块怎么办)
图片尺寸645x800
痘痘变成了个硬块,不痛不痒,怎么办啊
图片尺寸768x1024
面部有轻度结节痤疮图片
图片尺寸650x500
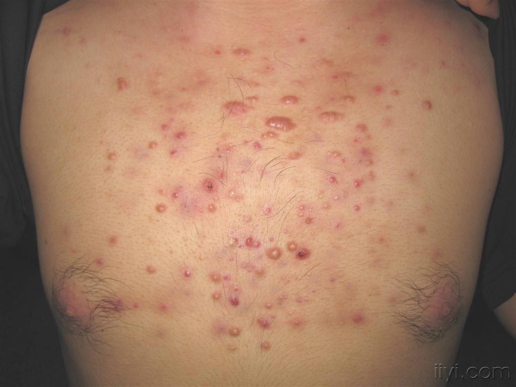
面颈部,肩胛部及胸前许多厚壁结节,或形成了大小不等的瘢痕疙瘩.
图片尺寸1024x768