缝隙牙

40岁牙齿缝隙越来越大了有人知道牙齿缝隙大怎么解决吗
图片尺寸650x478
牙缝太大
图片尺寸1080x561
你好,医生,我的牙齿门牙有缝隙,如图,像这种情况要怎么办
图片尺寸1280x960
牙齿间隙变大怎么办门牙缝隙越变越大怎么办是什么原因造成该如何修复
图片尺寸500x277
我的牙齿上门牙有缝隙,网上说这种人与父薄缘,而且肺经弱,这我亲身
图片尺寸864x1152
牙齿根部缝隙处发黑有臭味是怎么回事
图片尺寸592x446
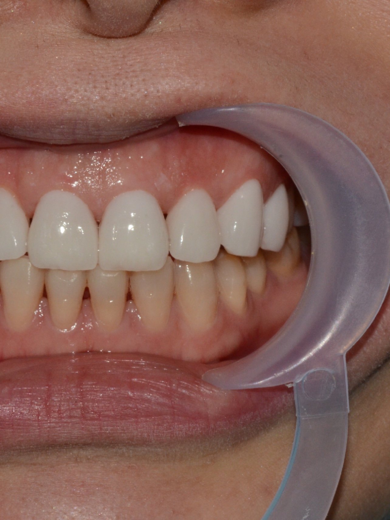
今日分享案例是,一位上牙齿缝隙过大,牙齿偏大的女士.
图片尺寸1280x1706
前牙缝隙的树脂修复第一次写希望大家多多指教
图片尺寸620x371
四环素牙前牙有缝隙
图片尺寸1284x1712
门牙之间缝隙大影响颜值,说话还会"漏风",如何是好?_治疗_进行_牙齿
图片尺寸1200x654
牙齿缝隙大怎么治疗
图片尺寸408x292
牙齿间隙变大怎么办为什么会牙缝大有哪些危害牙齿稀疏牙缝太大不好看
图片尺寸720x399
我门牙有大缝隙不知道怎么处理好? - 知乎
图片尺寸2048x1332
我原来前牙牙齿缝隙比较大,后来做烤瓷冠给修复好了
图片尺寸500x500
牙齿正上平面有缝隙是怎么回事呀?
图片尺寸960x1280
4岁小孩牙齿缝隙有黑色是不是虫牙
图片尺寸800x533
江阴牙齿稀疏可以怎么矫治
图片尺寸621x426
牙齿缝隙有黑黑的抠不下来还疼3
图片尺寸444x261
牙齿缝隙发黑怎么清洁(大牙牙齿缝隙发黑怎么清洁)
图片尺寸1712x1284
牙齿缝隙越大该怎么治疗
图片尺寸500x279