缺铁性贫血骨髓报告单

缺铁影响大脑发育?你不知道宝宝缺铁的n种危害!
图片尺寸942x1154
这些指标直接告诉你!
图片尺寸1080x434
女子缺铁性贫血1年竟得结肠癌有这些症状要小心
图片尺寸602x317
骨髓报告pas染色骨髓涂片免疫检测生化检查血细胞分析实验室相关检查
图片尺寸1035x1146
缺铁性贫血药物,您了解吗?_铁剂_mg_儿童
图片尺寸1326x1232
每日技能病例分析之缺铁性贫血
图片尺寸603x537
2例境外输入性无症状感染者已转至定点医疗机构医学观察,已追踪同航班
图片尺寸473x788
血清浓度13) (1)单次给药 :测定健康男子单次静脉(1,10,20,40 ug /人)
图片尺寸220x146
关于缺铁性贫血的科普小知识
图片尺寸640x552
图片浏览
图片尺寸126x139
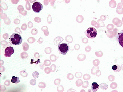
一位缺铁性贫血患者的外周血涂片
图片尺寸220x165
做了检查后,血常规检验单结果提示该患者系中重度小细胞低色素性贫血
图片尺寸529x545
思维导图记忆缺铁性贫血的重要考点
图片尺寸1080x943
指与人类本能有关的行为活动,包括生存本能,防御本能,食欲性欲本能等
图片尺寸400x300
关于血液病您知道多少?一文揭秘血液病的类型,症状与治疗
图片尺寸1000x1482
淋巴瘤,多发性骨髓瘤等;贫血性疾病如再生障碍性贫血,缺铁性贫血,巨幼
图片尺寸1080x1521
72% 的年轻女性都没吃够它,缺乏容易头晕,疲惫,易激怒
图片尺寸1080x10942
十月呵护小心宝宝缺铁性贫血
图片尺寸1280x720
缺铁性贫血症
图片尺寸268x236
缺铁性贫血|血红素铁|食补_新浪育儿_新浪网
图片尺寸550x309