网状层

表皮层起到屏障与保护的作用,皮肤干燥与否与表皮层关系重大.
图片尺寸787x527
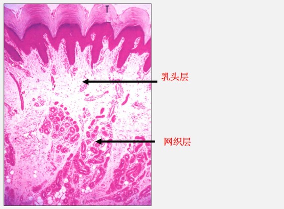
真皮层分为乳头层和网状层,真皮中胶原蛋白,弹性蛋白和透明质酸的"
图片尺寸1062x617
身上的这种纹没怀孕也会有4招可改善
图片尺寸1000x916
【共享】皮肤病理知识从入门到高级
图片尺寸640x476
1,纤维组织本文不同于上篇表皮层的介绍,表皮层以结构阐述,本文(真皮
图片尺寸552x449
分子层又称网状层,丛状层.
图片尺寸618x525
也是我们所用到的,包括:表皮层 表皮纤维>,真皮层 包括粒面层,网状层>
图片尺寸960x720
不同可以分为乳突层和网状层(其实这种分层只是从视觉直观效果来分得
图片尺寸574x451
layers of the thick skin 厚皮肤的五层结构 真皮层的乳头层与网状层
图片尺寸461x593
结构: 乳头层 网状层 组成: 纤维 胶原纤维 弹性纤维 网状纤维 基
图片尺寸1080x810
美容行业 皮肤的生理结构 乳头层 真 皮 网状层 此层含有丰富的血 管
图片尺寸1080x810
二,真皮 乳头层 网状层
图片尺寸1080x810
如果ages在真皮层积存,胶原蛋白等蛋白质发生糖基化,真皮纤维的网状
图片尺寸640x383
酸到达的层次是不一样的,所以作用也不相同,最深能达到真皮网状层中部
图片尺寸1200x686
皮肤的结构(图11表皮 角质层 透明层 颗粒层 生发层 乳头层 网状层
图片尺寸1080x810
但真皮层没这么复杂,通常只分为:浅在的乳头层,深部的网状层.
图片尺寸570x419
新型冠状病毒154真皮网状层筋膜皮下注射巩膜
图片尺寸480x319
网状层 主要由胶原纤维和网状纤维构成,内含毛细血管,淋巴,神经,肌肉
图片尺寸399x203
真皮可以分为浅层的乳头层及深层的网状层,主要由胶原纤维和弹力纤维
图片尺寸675x394
真皮层又分为乳头层(较表浅)及网状层.
图片尺寸640x474