网状组织

(四)网状组织 reticular tissue 由网状细胞,网状纤维和基质构成,分布
图片尺寸1080x810
组织学/网状组织
图片尺寸408x240
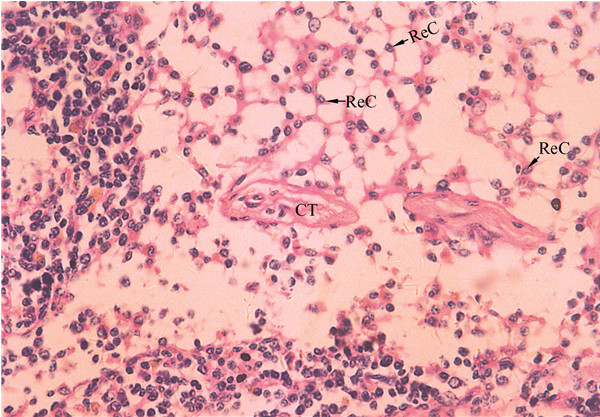
镜下为网状结缔组织.人类生理学的组织学.
图片尺寸1200x800
疏松结缔组织网状纤维有何特征
图片尺寸1158x939
人体组织学与解剖学 四,网状结缔组织
图片尺寸1080x810
山东群英医学研究有限公司网状细胞
图片尺寸600x417
图2-15 脂肪组织图2-16 网状组织
图片尺寸1088x593
网状纤维(脾,银染)
图片尺寸600x450
网状组织
图片尺寸300x207
p>网状结构:指脑干内弥散的白质纤维交织成网,网眼内散布不同大小的
图片尺寸420x360
(3)网状组织 网状组织分布在整个淋巴结中, 构成支架.
图片尺寸1080x810
镜下为网状结缔组织.人类生理学的组织学.
图片尺寸1200x800
主编 (二)网状纤维 (reticular fiber) 又称嗜银纤维, 分布于网状组织
图片尺寸1080x810
多中心网状组织细胞增生症
图片尺寸753x1112
中柱⒋外韧管状中柱 ⒌双韧管状中柱⒍网状中柱⒎真中柱⒏散装中柱
图片尺寸1080x810
显微镜下观察人网状组织的组织学
图片尺寸1200x900
4 "网状"组织架构
图片尺寸632x412
ppt 遵义医学院珠海校区解剖教研室教学课件 四,网状组织(reticular
图片尺寸1080x810
内质网(靠近细胞质内侧的网膜系统)-尚可名片
图片尺寸981x546
图2-16 网状组织
图片尺寸1066x621