网织红细胞镜下图片

网织红细胞!#显微镜下的世界 #一分钟干货教学 #每天持 - 抖音
图片尺寸1920x1280
网织红细胞
图片尺寸960x1279
网织红细胞存图
图片尺寸1080x1439
各型网织红细胞_实验诊断学
图片尺寸756x572
网织红细胞
图片尺寸1080x1438
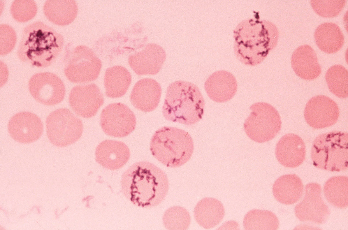
网织红细胞
图片尺寸1200x795
检验人也可以是"鬼门关"的把关人
图片尺寸701x781
图49 网织红细胞
图片尺寸1130x878
主要用于网织红细胞的染色,以便于镜下对网织红细胞计数.
图片尺寸380x287
网织红细胞和红细胞有什么区别
图片尺寸600x400
红细胞聚集导致的仪器法网织红细胞计数偏差一例
图片尺寸789x551
化验血常规,网织红细胞成熟指数高,是怎么回事?
图片尺寸455x556
【课堂笔记】红细胞系统解读|骨髓|贫血|溶血|网织_网易订阅
图片尺寸660x399
血涂片上的网状红细胞.
图片尺寸1161x1100
网织红细胞
图片尺寸1200x909
(地贫患者外周血涂片)血涂片镜检可见有核红细胞和网织红细胞增多;红
图片尺寸1080x1065
红细胞聚集导致的仪器法网织红细胞计数偏差一例
图片尺寸705x617
地贫|红细胞|血常规|血小板|癌症患者_网易订阅
图片尺寸660x615
网织红细胞计数
图片尺寸1080x1437
关于网织红细胞
图片尺寸552x396