老鼠疮

这是什么疮
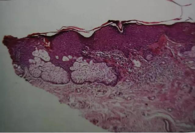
图片尺寸1024x768
变紫,最终破溃流水样脓液并排出黄浊样干酪样脓液,中医称之谓"老鼠疮"
图片尺寸232x300
瘰疬初期
图片尺寸1148x765
淋巴结核介绍_淋巴结核病因_淋巴结核治疗_淋巴结核医院医生_有来医生
图片尺寸1000x564
瘰疬分枝杆菌感染,无传染性,普遍存在于美国东南部地区
图片尺寸640x439
俗称疬子颈或老鼠疮.多见于青少年及原有
图片尺寸1080x810
【科普系列】吃猫肉治疗"老鼠疮"?土方子背后的无奈
图片尺寸1080x750
中医治疗淋巴结核(老鼠疮)有奇功
图片尺寸422x575
在他的指导思想下,来自世界各地的欧洲老鼠疮患者前往西班牙朝圣.
图片尺寸412x576
颈部淋巴结核怎么治疗
图片尺寸457x312
是什么病才能做治疗,老妈不想开刀害怕,昨天又去了个小诊所说是老鼠疮
图片尺寸606x801
老鼠疮人们不惜挖开国王的坟墓只为用那骷髅手触碰肿胀的脖子
图片尺寸491x445
脖子上的瘰疬包块用什么才能消下去呢
图片尺寸650x420
女子患老鼠疮没钱治床上等死 6岁女儿给其做饭
图片尺寸400x517
瘰疬就是俗称的老鼠疮
图片尺寸409x253
地胆主治宣拔瘰疬治疝积疼痛余功同斑蝥
图片尺寸482x568
猫爪草形似猫爪子可治老鼠疮
图片尺寸1080x1619
魏尚子这个病刚发现时,其实只是个很小的结节,但当地医生按老鼠疮来治
图片尺寸1200x723
瘰疬(luǒ lì)
图片尺寸600x979
昆布主治瘿气结核,瘰疬肿硬,项下渐肿成瘿.
图片尺寸834x647