耳膜破了会疼吗

40岁人用棉签捅破的耳膜穿孔?还能长好吗?谢谢?
图片尺寸3264x1836
鼓膜有时会吹弹可破
图片尺寸4608x3456
扇了个耳光,这层膜破了…这样的病例台州很常见!
图片尺寸984x970
检查图来 一开始说耳膜没破底部的神经好像破了所以出血严重 因为
图片尺寸500x500
总认为"耳膜"是一个精密的异常神奇的东西,会天真的认为"一旦鼓膜破了
图片尺寸633x598
鼓膜外伤性穿孔
图片尺寸400x400
引起鼓膜穿孔的几种原因
图片尺寸500x333
这是鼓膜破了吗,该怎么办
图片尺寸500x375
鼓膜穿孔有何病因鼓膜穿孔该怎么办图
图片尺寸605x375
什么情况耳膜会破?破损后有哪些表现?
图片尺寸720x576
【图】耳膜穿孔能自愈吗 情况严重的需要通过手术来修补
图片尺寸450x300
耳朵鼓膜破裂了还能长好吗?
图片尺寸519x529
原来耳膜是这样的,偶尔有点痛,发红了像发炎
图片尺寸1707x1280
【名医坐诊】长期耳痛,耳流脓?小心耳朵里的"破坏大王"
图片尺寸400x397
【图】揭秘耳膜破了有什么症状 以及人人必备的急救办法
图片尺寸420x400
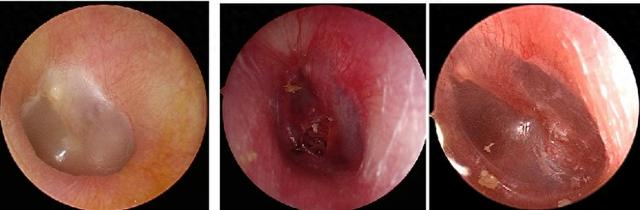
情侣亲吻耳朵,鼓膜竟被嘬破!
图片尺寸640x210
6岁耳朵被棉签弄出血检查过了没有伤到耳膜,睡了一夜血流到外面了,是
图片尺寸1280x960
被老婆扇了饼,耳朵听不见了,原来是鼓膜穿孔
图片尺寸578x360
耳膜穿孔治疗不及时,小心炎症的爆发!
图片尺寸1979x1975
9岁孩子因寒假作业没做完被刚回家的母亲一巴掌打破耳膜
图片尺寸640x435