耳颞神经

文档 所有分类 医药卫生 临床医学 局部解剖学-头部ppt 4)耳颞神经
图片尺寸1080x810
耳颞神经痛的诊断和治疗_神经痛_相关疾病_就诊指导 - 好大夫在线
图片尺寸493x416
有眼轮匝肌,颞浅动,静脉额支,布有面神经颧眶支及耳颞神经分支.
图片尺寸898x494
枕大神经及枕动脉,耳颞神经及颞浅动脉的局部解剖
图片尺寸507x364
耳大神经痛 - 抖音
图片尺寸1080x2060
一次性耳畸形矫正手术的技术难点竟是它
图片尺寸940x760
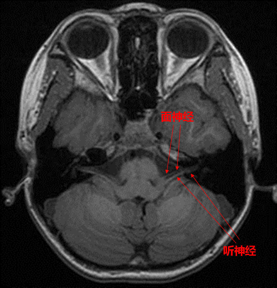
前庭神经鞘瘤听神经瘤
图片尺寸1280x1006
有颞浅动,静脉的耳前支,布有面神经及三叉神经的第三支的耳颞神经.
图片尺寸898x726
前组 1)滑车上神经 2)眶上神经 3)颧颞神经 4)面神经颞支 5)耳颞神经
图片尺寸1080x810
耳神经痛
图片尺寸500x426
耳鸣听力下降听神经瘤的诊断与治疗
图片尺寸943x980
人的内耳主要是一些听觉神经细胞,存在于耳蜗内,它感受到外界传来的
图片尺寸650x532
一般需要阻滞的头皮神经包括眶上神经,滑车上神经,耳颞神经,枕大神经
图片尺寸640x431
听神经
图片尺寸999x742
解剖,标本,考试 这 是 什 么 神 经 ? 耳大神经
图片尺寸1080x810
益康耳穴耳穴疗法之耳穴机理耳部神经和大脑之间的关系
图片尺寸1226x778
耳颞神经痛的诊断和治疗_神经痛_相关疾病_就诊指导 - 好大夫在线
图片尺寸395x390
耳颞神经
图片尺寸638x479
支配耳部感觉的神经是哪个(由此导致耳痛)?
图片尺寸640x503
这或是听神经瘤作祟|听神经瘤|早期症状|影像学|听力|耳蜗|-健康界
图片尺寸640x406