肋骨ct

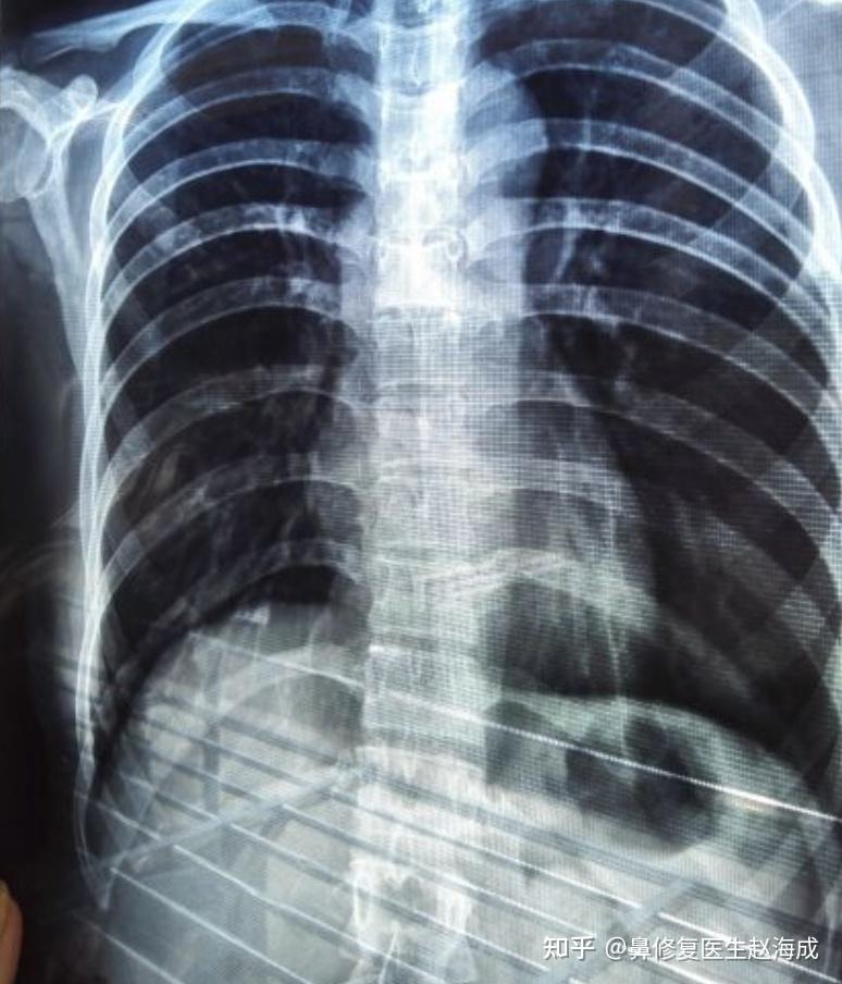
肋骨骨折,照的ct,但是总不能确定是几根,有少量积液,右下腹起来的时候
图片尺寸1840x3264
ct显示经检查,患者诊断为"四根以上肋骨骨折".
图片尺寸1080x1300
ct检查肋骨骨折,走路疼,睡觉上床,起床疼,穿鞋疼冬季来临;骨折,崴脚
图片尺寸1080x810
肋骨vr像
图片尺寸2000x2667
那些年,你漏诊过的肋骨骨折!
图片尺寸640x709
91最详细拍肋软骨ct攻略97,不用在浪费时间和银子93_圈子-新氧
图片尺寸810x1080
问:肋骨骨折断端重叠(详见ct报告单,图片)
图片尺寸2448x3264
ct见左侧第2-8肋骨多发骨折,部分错位.
图片尺寸2323x2619
麻烦哪位专家给我看看胸部片,右侧肋骨上的白色地方是怎么回事,感觉就
图片尺寸780x1040
肋骨三维重建
图片尺寸2171x2000
肋骨三维重建,显示肋骨多发骨折
图片尺寸2000x2667
问:肋骨骨折断端重叠(详见ct报告单,图片)
图片尺寸2448x3264
多发性肋骨骨折创伤性湿肺术后肺积血治疗讨论(付经典肋骨重建图片)
图片尺寸1944x2592
为什么肋骨骨折ct扫描一定要做三维成像
图片尺寸1024x1024
肋骨骨折,照的ct,但是总不能确定是几根,有少量积液,右下腹起来的时候
图片尺寸1840x3264
肋骨骨折,照的ct,但是总不能确定是几根,有少量积液,右下腹起来的时候
图片尺寸1840x3264
严重钙化的肋软骨ct片
图片尺寸725x872
肋骨vr像
图片尺寸2000x2667
为什么肋骨骨折ct扫描一定要做三维成像
图片尺寸1080x1080
肋骨l鼻之前还有一个重要事项你知道吗
图片尺寸774x904