肝包膜图片

电刀沿标记线切开肝包膜,左手托起右肝,自下而上钝性分离肝实质,逐一
图片尺寸875x666
沿肝正中裂左侧切开肝包膜
图片尺寸804x642
沿肝正中裂左侧切开肝包膜
图片尺寸971x800
肝包膜皱缩除了胆管细胞癌还有这几种情况
图片尺寸409x384
肝包膜皱缩除了胆管细胞癌还有这几种情况
图片尺寸468x331
【读片】肝包膜及腹腔淋巴结异常,请教?
图片尺寸512x512
肝被膜紧张是什么
图片尺寸500x398
电刀切开预切线的肝包膜
图片尺寸804x642
肝脓肿
图片尺寸1080x810
2,正常声像图 肝脏的形态,大小,包膜,回声,管道结构
图片尺寸1080x810
肝包膜皱缩除了胆管细胞癌还有这几种情况
图片尺寸404x350
图1-156 肝壁面观
图片尺寸1264x785
仅在表面有一层包膜是有神经的,所以肝脏对一些"小毛病"没有明显的
图片尺寸840x592
细胞坏死,把肝脏餐具的包膜极度撑开,撑紧的肝包膜刺激神经后产生肿痛
图片尺寸605x540
包头医生早期肝癌没症状请保护好你的小心肝
图片尺寸411x214
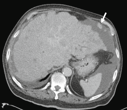
肝周围炎:肝包膜增厚和动脉期强化
图片尺寸1152x720
那么,到了秋季,配合秋季的气候和食物,脂肪肝患者该如何调理身体呢?
图片尺寸1730x1154
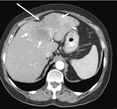
肝包膜下大血肿破裂出血样子像肿瘤而非肿瘤 - 好大夫在线
图片尺寸610x516![肝尾叶巨大混杂密度包块一例 [病例帖]](https://imgs.wantubizhi.com/img/735A5D1F980B52A636CC46F12F2D1A73473E4B17BFFB65E226896C86148D7EA6AEEAFAEA8C789684FF17C557E02A9F0E63890ECA6C260FA53691396573173F7F84270E286186451879FB7A02714DED4D9FBAB84F2B8634B8574C49C91E818CDE)
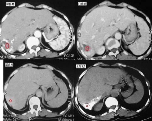
肝尾叶巨大混杂密度包块一例 [病例帖]
图片尺寸593x445
镰状韧带右缘切开肝包膜
图片尺寸971x637