肝包虫ct增强图片
![【读片】包虫病典型ct,有兴趣的请踊跃发言 [病例帖]](https://imgs.wantubizhi.com/img/ADDA3C5D760C6828B77B505A29D43E83137C6DBCA38EB750D867DAD7BAC2A63B42247FDB5498AF636F2F99F96E1A95B3697EC2E6BCE91C9A196026F115D9693B82B24456230CBBBAEC72FCB65E02E3DB391FE0775AD804929E1C2A06AFDA7BED)
【读片】包虫病典型ct,有兴趣的请踊跃发言 [病例帖]
图片尺寸1920x1080
肝包虫(泡状棘球蚴)_手机搜狐网
图片尺寸512x512
典型肝囊虫病
图片尺寸1354x1064
【病例学习】肝包虫病一例ct诊断
图片尺寸1001x752
【原创】肝包虫ct片
图片尺寸480x640
肝包虫一例
图片尺寸640x479
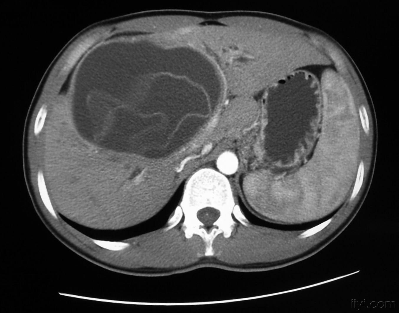
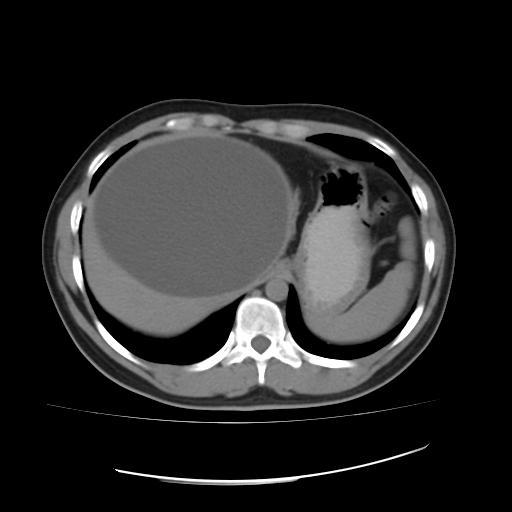
图1为肝囊型包虫病(ce)1型,ct平扫显示肝右叶类圆形水样密度病灶,囊壁
图片尺寸718x415![【读片】包虫病典型ct,有兴趣的请踊跃发言 [病例帖]](https://imgs.wantubizhi.com/img/ADDA3C5D760C6828B77B505A29D43E83759B8EBCB9D868AA4EE84D3B4919E1C08B02BD94E0A31DEC38ADD604496ECC772D31E4C041A88001F31EBC039E9CDCE8C776D8ADB2B977FA92539202FDCB610BDD290270EBF9673F8075356C5385AC59)
【读片】包虫病典型ct,有兴趣的请踊跃发言 [病例帖]
图片尺寸640x360
肝子囊型包虫囊肿一例,脾包虫病
图片尺寸719x881
【病例学习】肝包虫病一例ct mr影像表现
图片尺寸556x507
晋城大医院普外二病区成功为一名肝包虫病患者实施手术
图片尺寸2000x2667
肝包虫病与一般肝囊肿的ct区别?(另:不宜吃被包虫污染的生牛羊肉啊!
图片尺寸1600x1200
病例肝包虫病1例ct及mr影像表现
图片尺寸960x720
【原创】肝包虫ct片
图片尺寸640x480
> 左石 > 文章列表 >单纯性肝包虫囊肿致术中过敏性休克1例 ct图片如
图片尺寸512x512
左肝巨大包虫一例 - 普通外科讨论版 -丁香园论坛
图片尺寸1440x1080
ct53328肝脏增强扫描
图片尺寸512x512
接上ct三期扫描
图片尺寸2592x1944
肝包虫病
图片尺寸800x600
血吸虫性肝硬化
图片尺寸2635x2068