肝尾状叶ct

外二科成功开展第一例肝尾状叶切除手术
图片尺寸4032x3024
精彩幻灯肝脏断层解剖图谱之尾状叶
图片尺寸640x360
ct33812:男性,53岁,肝右下叶低密度影,请求会诊费
图片尺寸907x2129
重新认识肝尾状叶
图片尺寸735x609
正常肝脏ct图
图片尺寸2667x2000
肝尾状叶占位
图片尺寸680x510
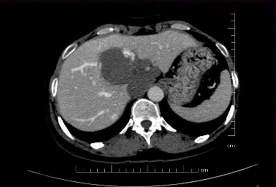
术前ct可见肝尾状叶巨大肿瘤
图片尺寸550x460
哈医大一院成功切除高风险的肝尾状叶巨大血管瘤
图片尺寸550x373
肝门胆管癌非常难处理的肿瘤之一
图片尺寸4032x3024
因"头昏头疼1年,加重2天"入住我院神经内科,入院后行ct检查发现肝门区
图片尺寸500x350
02.01腹部ct增强扫描延迟期 肝左静脉,紧邻肿瘤
图片尺寸1111x584
【请教】肝脏ct
图片尺寸1024x1535![[读片]肝.ct [病例帖]](https://imgs.wantubizhi.com/img/A1A61BAA66193547F3A6DD7D8EE527E9C523BBC092C9799C32CD4665936775E619C7ACC2097029B4AE23EAA573A8A5A233FBC27C665861D55A7E82BA5A016E7C3BA0B1088A4E787DC95FF2E71F109A0D78041F2C7DDA061E2619AF3C95691BE7)
[读片]肝.ct [病例帖]
图片尺寸1200x1200
ct肝脓肿
图片尺寸1080x810
巨大尾状叶肝细胞肝癌切除术1例
图片尺寸963x503
【请教】如何在肝脏ct上进行肝段的划分
图片尺寸627x647
微信视频预览查看00:00/00:00视频:肝尾叶肥大ct冠状面重建所见.
图片尺寸960x613
上腹部增强ct(cta ctv):肝尾叶巨大软组织肿块,考虑恶性肿瘤性病变
图片尺寸512x512
上腹部ct诊断ppt
图片尺寸1080x810
肝脏常见疾病的ct诊断
图片尺寸2200x1650