肝岛

认识"肝岛" - 好大夫在线
图片尺寸1146x1280
弥漫性脂肪肝伴正常肝岛一例ct增强病例
图片尺寸493x455
认识肝岛
图片尺寸1216x1280
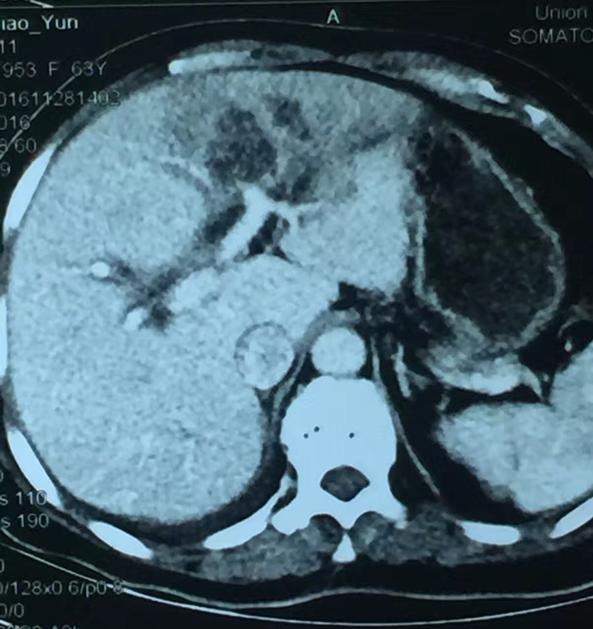
增强扫描,肝岛表现与脂肪浸润区同步均匀强化.
图片尺寸1024x2048
认识"肝岛" - 好大夫在线
图片尺寸1280x678
认识"肝岛"
图片尺寸1280x786
认识"肝岛" - 好大夫在线
图片尺寸1206x1280
广西壮族自治区北海市涠洲岛南湾鳄鱼山景区
图片尺寸3000x1839
环绕日本的美丽大海
图片尺寸1280x857
沙璜旅游图片
图片尺寸1440x900
认识"肝岛" - 好大夫在线
图片尺寸1064x1280
广西壮族自治区北海市涠洲岛南湾鳄鱼山景区
图片尺寸3000x1531
【求助】体检发现右肝包块,是"肝岛"吗?
图片尺寸768x576
影像报告解读:肝岛是什么意思?在ct上什么表现?医生讲解
图片尺寸964x602
【读片】这是肝岛还是血管瘤
图片尺寸768x576
最近在肝岛建喜欢森系,在小红98上抄了点作业.
图片尺寸1080x1215
符合弥漫性脂肪肝中残留正常肝岛的ct表现()点击查看答案进入题库练习
图片尺寸747x554
动森肝岛
图片尺寸1080x608
1310:06131309:57131309:4513肝岛?
图片尺寸1242x751
scientists have discovered a massive mineral deposit
图片尺寸2824x1789