肝左叶CT
![一例肝左叶病变患者的ct/mri分析 [病例帖]](https://imgs.wantubizhi.com/img/ADDA3C5D760C6828B77B505A29D43E833F50DD751098F7602C31D46E6E3C0ACFAC6AC868CCA41D8F2AA55F6253AF7FAFE9CE3DE6AAEFEEC6F6489A25ADF544102509D519D1E8F954AA1AC675334A80CD663979A7E45975D9C99C415A4AD6F69C)
一例肝左叶病变患者的ct/mri分析 [病例帖]
图片尺寸512x512
【读片】肝左叶内侧段低密度灶,增强环形强化,病人随访中,请讨论.
图片尺寸728x2000![一例肝左叶病变患者的ct/mri分析 [病例帖]](https://imgs.wantubizhi.com/img/735A5D1F980B52A636CC46F12F2D1A73052D04183126E56DE54521745DEC5699F1B6D8EBB88B3DCC540BD4AF8EE0ACDE041089EE333323B3C4DA324D4B860F33AA91D62D65DE8B5918CCFC55F038FC95C5F79F5D58FDDF7DB26C78AF3714469D)
一例肝左叶病变患者的ct/mri分析 [病例帖]
图片尺寸512x512
肝左叶及 肝左动脉 胃 肝右叶及 肝右动脉 肝尾 叶 脾 下腔 静脉 腹主
图片尺寸1080x810
肝脏疾病ct诊断
图片尺寸960x720![一例肝左叶病变患者的ct/mri分析 [病例帖]](https://imgs.wantubizhi.com/img/A1A61BAA66193547F3A6DD7D8EE527E9CF88EC4A1798B3960F05BFC432F638DF3934165F138F7EDC87C1B1DA12180BFBD82E758B0E76C8C9A06AC3FC9A79AB6333A96CE8A5C4204A144EC57E6D09D12139DEA20BE867654BBA14A250F508DFCC)
一例肝左叶病变患者的ct/mri分析 [病例帖]
图片尺寸512x512
微创诊疗||ct引导下经皮肝左叶肿物穿刺活检术,让临床治疗更精准!
图片尺寸537x479
ct53402:患者 男 41 肝左叶低密度影.请会诊
图片尺寸512x512
肝脏ct/20100622/随访
图片尺寸1860x1858
病例学习肝左叶变异
图片尺寸453x297
肝左叶占位一例
图片尺寸680x907
正常肝脏ct解剖ppt
图片尺寸1080x810
不开刀,肝血管瘤可以这样治疗啦!
图片尺寸1200x1600
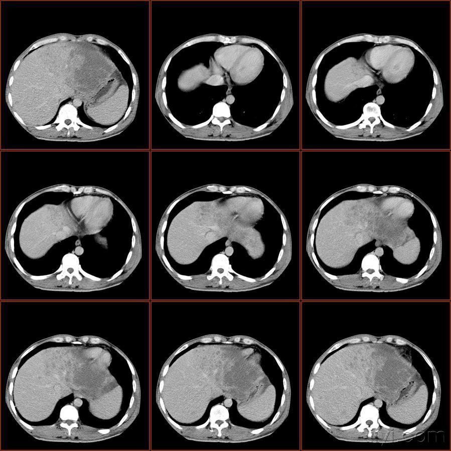
肝左叶病变有随访结果已公布随访结果
图片尺寸899x899
病例分享各位国青院士莅临指导一下这样的肝左叶区占位性病变您考虑
图片尺寸4032x3024![【读片】老年女性,肝左叶肿块,【已公布结果】 [病例帖]](https://imgs.wantubizhi.com/img/735A5D1F980B52A636CC46F12F2D1A733422DDF722C974334087E74516C166007EF38138BFAEA76A82726C47B88751E5366A47812DAB270E4BA6CDCF7ACEF46B0A3F5CE8156B508BF6B627659B4084093779FD9911DC8E6596423D7CCBD13523)
【读片】老年女性,肝左叶肿块,【已公布结果】 [病例帖]
图片尺寸591x443
肝脏疾病的ct表现
图片尺寸2058x3996
肝血管瘤ct实例分享
图片尺寸1080x1080
新安县中医院外二科成功在腹腔镜下行肝左叶血管瘤切除术
图片尺寸2000x2667
【读片】b超示肝左叶低密度灶,请大家多多发表意见(已有结果) [病例帖
图片尺寸1024x1024