肝硬化和肝癌的ct图片

肝硬化结节癌变的早期影像诊断影像天地
图片尺寸960x720
肝脏疾病的ct表现
图片尺寸2707x4032
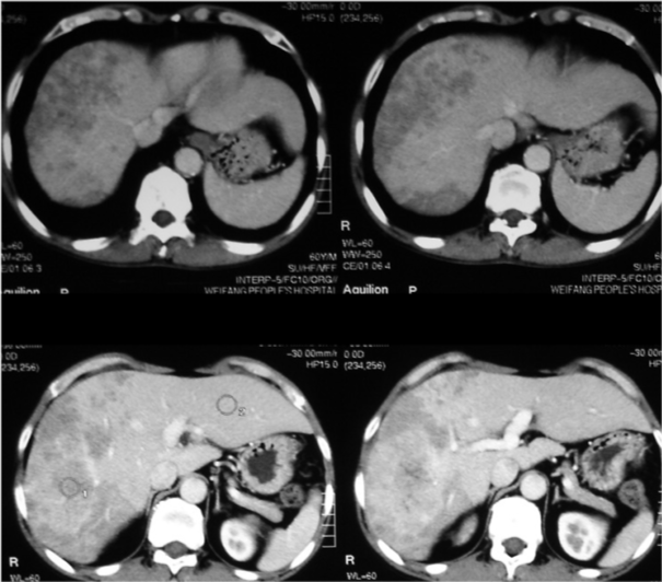
9.11腹部增强ct:肝右叶弥漫性肝癌
图片尺寸2208x1169
肝硬化ct诊断要点及鉴别诊断
图片尺寸893x339
肝细胞肝癌ct病例图片影像诊断分析
图片尺寸600x421
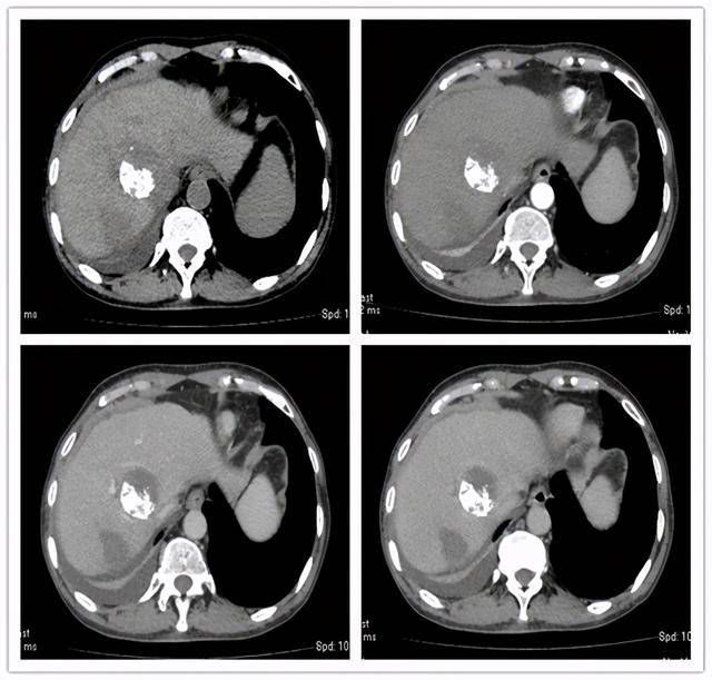
肝硬化肝癌的增强ct图像
图片尺寸512x288
肝癌治愈案例赏析——附完全缓解的一例多发大肝癌(最近做的)
图片尺寸2200x1650
肝癌:增强ct,典型"快进快出".
图片尺寸640x480
其它 射频消融治疗肝癌 写美篇消融治疗小肝癌创伤小,恢复快,费用低
图片尺寸2667x2000
门诊行上腹部增强ct检查示:肝左叶,右叶多发异常强化影,考虑肝癌,afp
图片尺寸1080x1440
增强ct发现肝占位,提示肝癌
图片尺寸1472x1199
乙肝肝硬化伴原发性肝癌deb-tace治疗cr一例
图片尺寸640x611
柯丽尔每日一例】酒精性肝硬化合并局限性肝脂肪浸润病变误诊为肝癌
图片尺寸376x433
从肝炎到肝癌需要走多久?这些你需要知道_腾讯新闻
图片尺寸605x532
一个18cm肝癌的介入治疗 - 好大夫在线
图片尺寸1600x1200
肝硬化
图片尺寸1941x3994
肝硬化肝癌的增强ct图像
图片尺寸512x288
9.11腹部增强ct:肝右叶弥漫性肝癌,可见门脉癌栓
图片尺寸2255x1192
【喜讯】楚雄州人民医院首例完成经介入治疗为中晚期巨块型肝癌患者
图片尺寸2667x2000
解剖性肝切除(s4-5段肝癌)-甘肃省人民医院普外二科(肝胆胰外科)
图片尺寸4000x3000