肝硬化的ct表现

多图读懂肝硬化的影像学表现
图片尺寸554x443
肝硬化影像学表现
图片尺寸640x960
肝脏疾病的ct表现
图片尺寸2058x3996
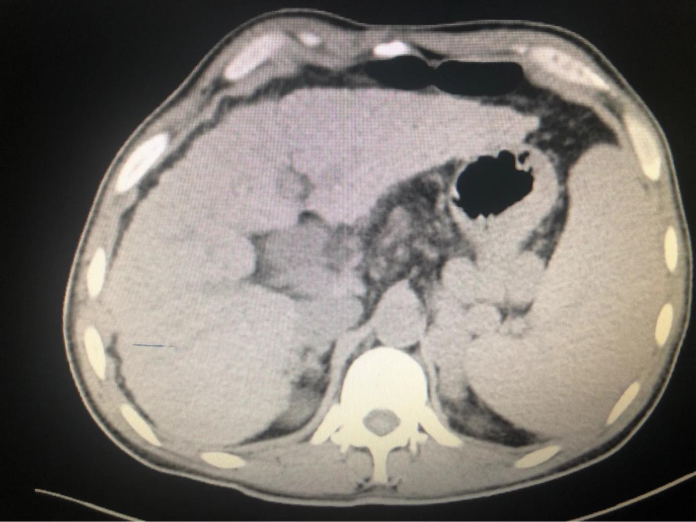
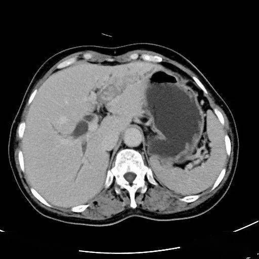
患者肝硬化时的ct图像
图片尺寸512x512
罕见的肝硬化巨大结节影像学如何诊断病例学习
图片尺寸2953x2408
肝硬化并发症ct表现
图片尺寸1200x1600
n00005血吸虫性肝硬化
图片尺寸600x558
早期肝硬化伴肝内胆管结石
图片尺寸512x512
肝脏疾病的ct表现
图片尺寸1941x3994
不畏酷暑辛劳 大医普惠洛阳 失代偿期肝硬化骨髓治疗实录 - 好大夫
图片尺寸1027x770
肝硬化结节癌变的早期影像诊断影像天地
图片尺寸960x720
肝硬化大量腹水,腹胀难忍怎么治疗_肝腹水_治疗方法_治疗方式 - 好
图片尺寸4032x3024
肝硬化
图片尺寸512x512
肝硬化ct诊断要点及鉴别诊断
图片尺寸893x339
肝硬化如果恶化了都有哪些表现来听医生给你分析
图片尺寸1383x1038
肝脏边缘不光滑,不全是「肝硬化」,这个细节不能忽略!
图片尺寸1080x754
肝硬化影像表现(直结肠肝转特征)
图片尺寸1080x1152
肝脏边缘不光滑不全是肝硬化这个细节不能忽略
图片尺寸1080x747
和移动性浊音;1级腹水:仅有少量腹水,仅通过超声检查或ct检查检测到
图片尺寸906x766
ct-3至此,肝硬化失代偿,顽固性腹水,肝肾综合征似乎诊断明确.
图片尺寸675x900