肝细胞性肝癌

健康和肝癌肝脏矢量插图显微镜下的肝细胞肝细胞癌图肝细胞癌大鼠肝癌
图片尺寸450x300
肝细胞癌镜下观
图片尺寸406x272
停止索拉非尼治疗后的晚期肝细胞癌患者的独立预后因素
图片尺寸769x538
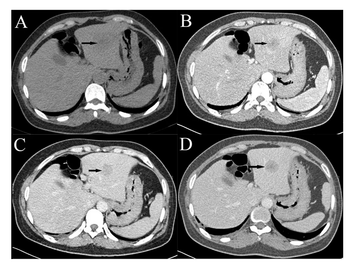
原发性肝细胞癌行三次debtace治疗一例
图片尺寸1080x796
肝细胞癌的新辅助治疗_肝癌_肝癌治疗方式 - 好大夫在线
图片尺寸752x1203
肝细胞图片
图片尺寸450x300
肝细胞癌图肝脏的健康概念肝细胞癌大鼠肝癌, 60x 变焦手在蓝色手套与
图片尺寸450x300
肿瘤疾病之肝细胞癌
图片尺寸504x331
肝肿瘤--肝细胞性肝癌
图片尺寸756x568
肝细胞癌,显微镜下的hcc
图片尺寸1200x801
术后病理回报:高分化肝细胞癌,切缘(-)行腹腔镜下肝占位局部切除;病例
图片尺寸610x456
左肝胆管细胞癌 - 好大夫在线
图片尺寸5312x2988
肝硬化|肿瘤|肝癌|治疗_网易订阅
图片尺寸576x292
肝母细胞瘤
图片尺寸800x279
概述 概念:指肝细胞或 肝内胆管细胞 较常见的恶性肿瘤,发病率仅从谮
图片尺寸960x720
患者术后病理确证为肝细胞肝癌
图片尺寸555x415
原发性肝细胞癌的ct和mri诊断
图片尺寸960x720
原发性肝细胞癌行三次debtace治疗一例
图片尺寸1080x784
新英格兰医学杂志,最新发布详细的肝细胞癌综述
图片尺寸720x535
肝细胞坏死之后.
图片尺寸616x915