肝肿瘤ct

肝肿瘤_介绍_检查_治疗方式 - 好大夫在线
图片尺寸738x621
肝脏疾病的ct表现
图片尺寸2707x4032
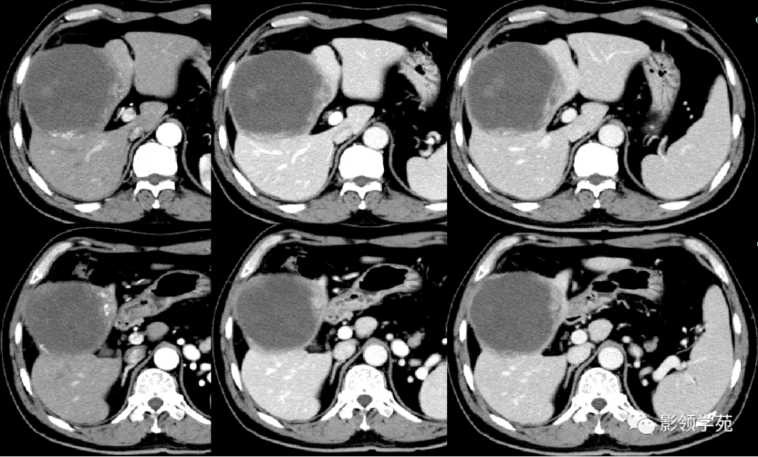
【病例】肝腺瘤1例ct影像表现
图片尺寸512x512
原发肝癌病例讨论 - 肿瘤医学专业讨论版 - 爱爱医医学论坛
图片尺寸4128x2322
这幅图像是术前肝脏增强ct动脉期,可见肿瘤有强化,表明肿瘤有活性
图片尺寸2667x2000
精准介入联合靶向免疫治疗晚期肝癌病例分享
图片尺寸1103x562
ct肿瘤情况.
图片尺寸2667x2000
一个18cm肝癌的介入治疗 - 好大夫在线
图片尺寸1600x1200
肝癌治愈案例赏析——附完全缓解的一例多发大肝癌(最近做的)
图片尺寸2200x1650
【讨论】肝脏占位性质待查病例讨论 - 肿瘤医学讨论版 -丁香园论坛
图片尺寸2547x3069
解剖性肝切除(s4-5段肝癌)-甘肃省人民医院普外二科(肝胆胰外科)
图片尺寸4000x3000
承医附院肝胆外科"三步法"右半肝切除治疗肝癌 - 好大夫在线
图片尺寸4608x3456
21种肝脏少见及不典型肿瘤的影像表现
图片尺寸1080x651
肝癌:增强ct,典型"快进快出".
图片尺寸640x480
肝脏ct/20100622/随访
图片尺寸2102x1920
肝脏常见肿瘤ct表现ppt
图片尺寸800x600
老年患者,肝癌术后6月复发,ct平扫不明显
图片尺寸2667x2000
腹腔镜肝切除手术治疗肝癌经验分享
图片尺寸4032x3024
其它 肝脏占位的影像诊断 辅导课 20200325 写美篇钙化在ct上表现为
图片尺寸602x457
腹腔镜肝左外叶肿瘤切除,2020收官之作
图片尺寸800x600