肝脓肿b超

能力作风建设年七旬大爷肝脓肿哈市二院超声医学科针尖下精准治疗为其
图片尺寸314x235
是肝脓肿还是肿瘤复发他一针道破玄机
图片尺寸800x598
能力作风建设年七旬大爷肝脓肿哈市二院超声医学科针尖下精准治疗为其
图片尺寸272x204
细菌性肝脓肿
图片尺寸268x221
图片浏览
图片尺寸300x225
典型病例:胆道炎症引起的肝脓肿_胆囊_高度_诊断
图片尺寸640x493
复查增强ct发现脓肿小了一大半,但是肝脓肿厚壁及厚壁上的很多肿瘤样
图片尺寸550x478
思维导图 | 消化系统之细菌性肝脓肿_考点_真题_丁香医
图片尺寸1080x512
"隐藏的杀手"肝脓肿
图片尺寸600x399
"隐藏的杀手"肝脓肿
图片尺寸407x403
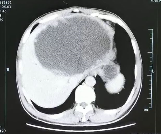
引流前肝脏巨大脓肿,壁厚,且壁上见很多肿瘤样的结构.
图片尺寸550x457
真菌,结核杆菌,医生有些头大,看来这不是感染导致的肝脓肿?
图片尺寸1000x1334
漳州开发区第一医院下周专家门诊安排_诊治_治疗_职称
图片尺寸390x567
阿米巴肝脓肿
图片尺寸220x190
发热好不了竟是因肝脓肿这个病多发于男性
图片尺寸720x720
一文总结:肝脓肿的诊治要点 | 临床必备_患者_治疗_检查
图片尺寸926x617
阿米巴性肝脓肿
图片尺寸220x158
肝脓肿也不容小觑
图片尺寸640x468
b超发现肝囊肿放心还是担心
图片尺寸1081x721
以为肠胃炎没想到呀肝上长脓肿关键还2个
图片尺寸1080x810