肝脓肿ct

腹部增加ct肝脓肿.
图片尺寸1604x1200
上腹胀痛伴消瘦10余天入院,ct提示肝脓肿!
图片尺寸4032x3024
腹部ct扫描显示一巨大的气性肝脓肿
图片尺寸500x666
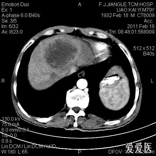
一例确诊的肝脓肿ct平扫增强
图片尺寸512x512
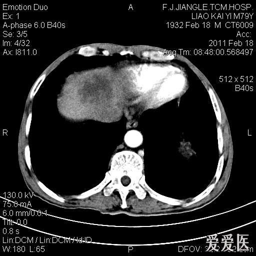
一例确诊的肝脓肿ct平扫增强
图片尺寸512x512
腹部 ct 检查像 例典型肝脓肿位置,大小及形态特点
图片尺寸3360x760
肝脓肿
图片尺寸349x346![[共享]一张典型的肝脓肿ct片](https://imgs.wantubizhi.com/img/ADDA3C5D760C6828B77B505A29D43E838C2103EEE63208BC7400B026B200E297D7ED4C76D339697E89EA320F7F9D369C8C7192D9C7D7C7CB25910157E9C81E2EB52634D63E1AA5FBE655A15BD34FC88206BA835C454460D0F2FE2341437BD3C8)
[共享]一张典型的肝脓肿ct片
图片尺寸1024x768
一例确诊的肝脓肿ct平扫增强
图片尺寸512x512
肝脓肿ct引导下ptcd引流术
图片尺寸2667x2000
细菌性肝脓肿的影像诊断影像天地
图片尺寸960x720
【病例】肝脓肿1例ct影像表现
图片尺寸512x512
ct肝脓肿
图片尺寸1080x810
一例确诊的肝脓肿ct平扫增强
图片尺寸512x512
腹部阿米巴肝脓肿的ct表现
图片尺寸700x394
奉献一份不错的病例比较典型之肝脏病变结果已公布肝脓肿
图片尺寸912x912
长期发热,腹痛,可能为肝脓肿!
图片尺寸600x476
肝脓肿ct2 蜂房状脓肿
图片尺寸1080x810
细菌性肝脓肿的影像诊断影像天地
图片尺寸960x720
一例确诊的肝脓肿,ct平扫 增强
图片尺寸512x512