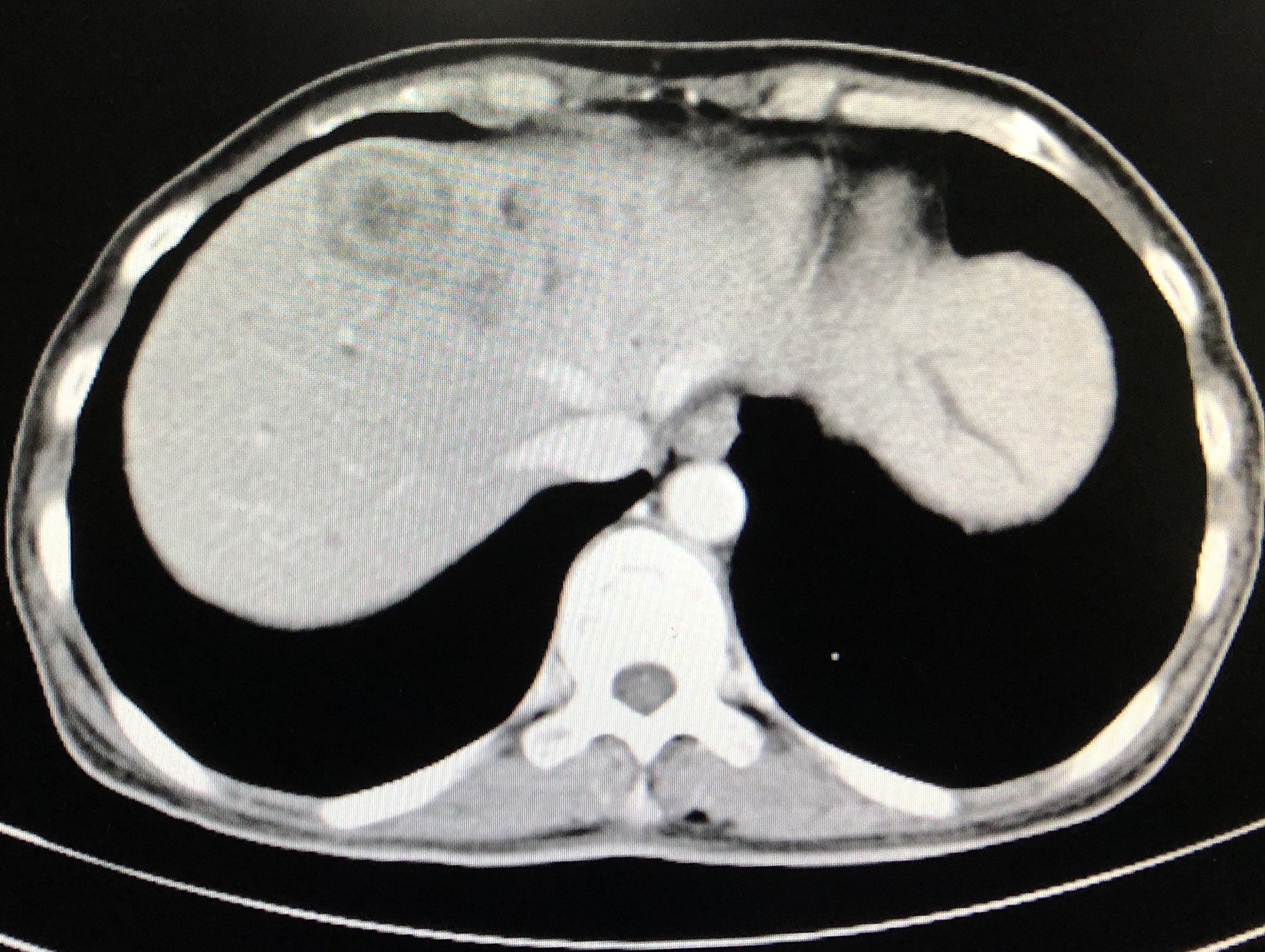
肝转移瘤

图22 肝转移瘤
图片尺寸550x685
肝脏转移瘤ct1 mhc,胃癌(147580) 胃癌肝转移
图片尺寸1080x810
病例肝转移瘤1例ct影像表现–影像ppt
图片尺寸512x512
转移性肝癌可以哪些运动?
图片尺寸500x500
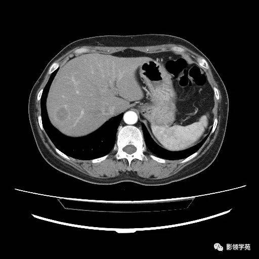
肝内典型转移瘤,考虑来源胃肠道,等进一步检查结果 - 抖音
图片尺寸1440x1920
术前ct提示肝右叶转移瘤
图片尺寸1200x675
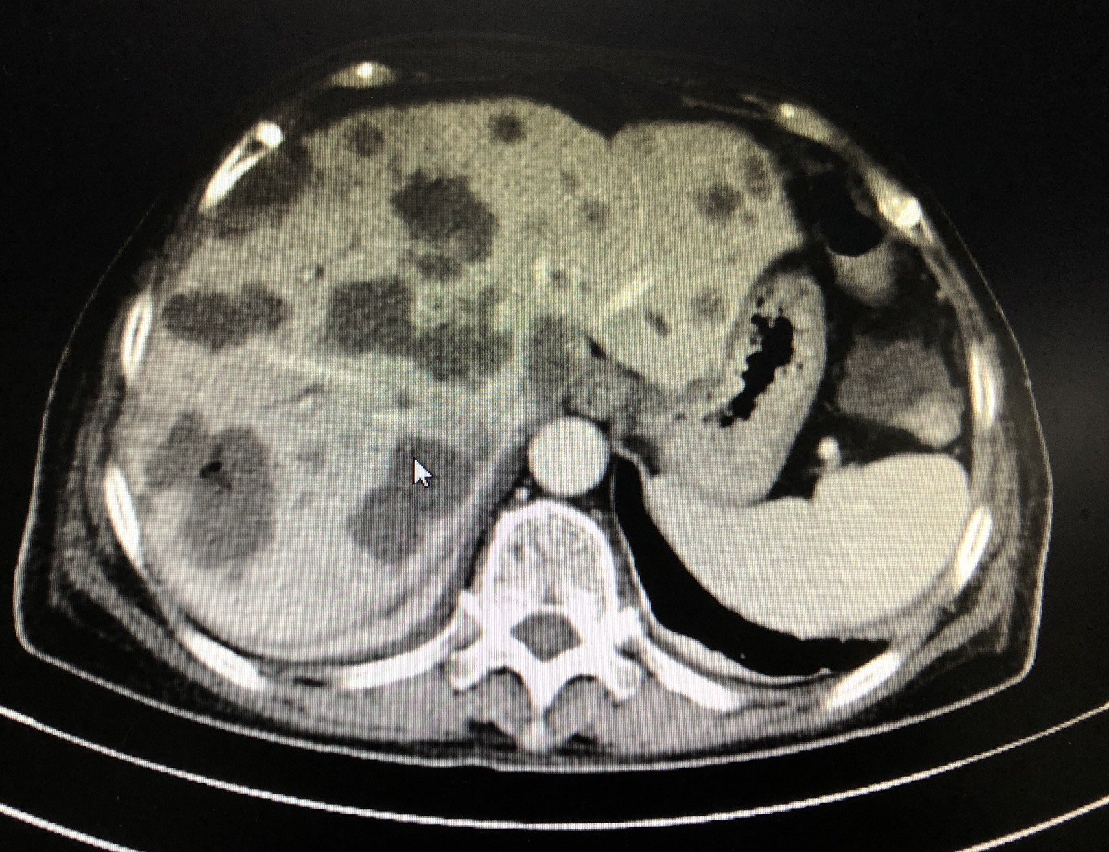
肝脏影像系列六肝内多发转移瘤
图片尺寸451x352
转移性肝癌症状
图片尺寸500x551
肝脏转移瘤的影像学诊断
图片尺寸556x958
肝脏转移瘤的影像学诊断
图片尺寸653x958
载药微球栓塞治疗肝脏多发转移瘤 - 好大夫在线
图片尺寸1616x1242
肝转移瘤
图片尺寸512x512
b图6-2-111 肝转移瘤a.
图片尺寸886x673
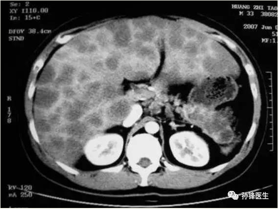
转移性肝癌
图片尺寸1000x769
手术中在腹腔镜下切除了直径7cm的肝转移瘤,并利用造口还纳的手术切口
图片尺寸825x586
肝转移瘤介入治疗 - 好大夫在线
图片尺寸1141x742
肝转移瘤
图片尺寸512x512
医学小品|肝脏多发囊肿和肝脏转移瘤怎样鉴别?
图片尺寸570x428
肝脏转移瘤的影像学诊断
图片尺寸669x958
载药微球栓塞联合氩氦刀冷冻消融治疗肝转移瘤 - 好大夫在线
图片尺寸1650x1242