肝转移瘤CT

残肝多发转移瘤,ct平扫,肝内见多发低密度灶;b.
图片尺寸571x449
肝脏影像系列(六):肝内多发转移瘤
图片尺寸451x352
肝脏转移瘤影像病例及鉴别诊断
图片尺寸1280x720
术前ct提示肝右叶转移瘤
图片尺寸1200x675
肝脏多发病例,转移瘤ct1606210004?
图片尺寸960x878
【病例】肝转移瘤1例ct影像表现
图片尺寸512x512
肝脏丨转移瘤影像表现
图片尺寸1080x607
肝脏转移瘤的影像学诊断
图片尺寸556x958
第六章 腹部 第二节 肝脏病变 五,肝脏转移瘤丨精品连载
图片尺寸886x673
肝转移瘤
图片尺寸512x512
肝脏转移瘤的影像学诊断
图片尺寸653x958
这不是肝囊肿,而是肝转移瘤!#医学影像 #肝 #误诊 - 抖音
图片尺寸1282x990
肝脏转移瘤的影像学诊断
图片尺寸682x882
肝转移瘤
图片尺寸512x512
肝转移瘤
图片尺寸512x512
肝脏转移瘤的影像学诊断
图片尺寸667x958
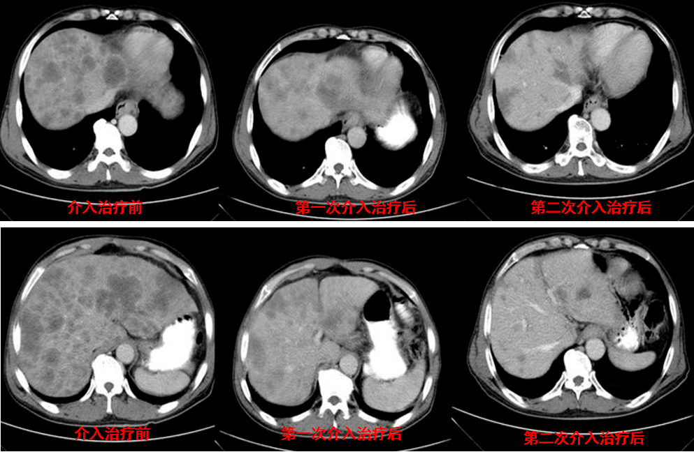
一例her2晚期胃癌肝转移病例的介入联合靶向治疗过程丨抗her之路 与妮
图片尺寸993x648
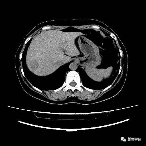
ct示:左肝内叶转移瘤!
图片尺寸780x1052
肝脏转移瘤影像病例及鉴别诊断
图片尺寸1280x720
图 影像诊断报告(肝转移瘤)
图片尺寸720x224