肝ca
![肝脏明显异常强化病灶,考虑什么局灶性结节增生,肝腺瘤,肝ca [病例帖]](https://imgs.wantubizhi.com/img/A1A61BAA66193547F3A6DD7D8EE527E9EF305CC0771AF3DEE1E09D1475ED92EC8FB0845C723E1D8552BAAC3840E7340CB6AD87C617E48BAE05A9CA8282E4323197E02AD1C9CCB33821369F4BC3161A9DC3BEF7413A5D6D12BE9D5DF9FF9E28AE)
肝脏明显异常强化病灶,考虑什么局灶性结节增生,肝腺瘤,肝ca [病例帖]
图片尺寸3024x4032
肝ca.jpg
图片尺寸668x501
肝ca是什么意思-肝癌症状
图片尺寸1024x1024
右肝巨块型ca病历纪实
图片尺寸3024x4032![[姐姐肝ca记录九——术后恢复]](https://imgs.wantubizhi.com/img/ADDA3C5D760C6828B77B505A29D43E83527DA3DE4C65D4C0B6A9C999059F6B335A1899F0DA9A3BE0BE08AAEB72F611ADEC1B86900D2BDDB257AA5307741D23B08B3982DC1BC6920E942FFAC321C7EB3A9320E36A37E4B75BFEF7CAB6504DD206)
[姐姐肝ca记录九——术后恢复]
图片尺寸1080x540
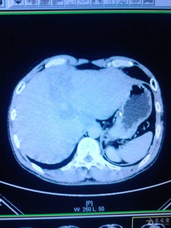
ct增强提示:肝硬化,肝ca形成,腹腔少量积液.
图片尺寸2000x2667
肝左叶占位
图片尺寸720x960
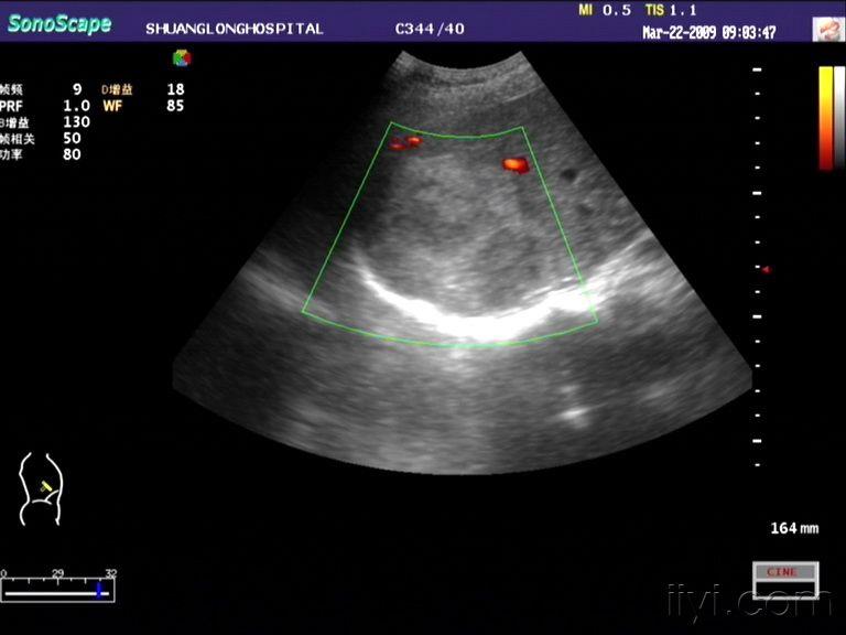
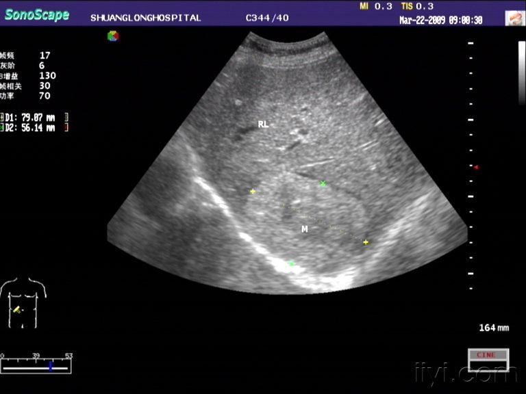
肝ca超声图9张请大家欣赏
图片尺寸640x478
经典超声图片欣赏原发性肝ca
图片尺寸768x576
确诊2个月的胆管癌患者从确诊到临走前1天的变化附照片
图片尺寸809x889
结节,与之前检查没有变化我院肿瘤二科一慢性肝炎患者肝ca术后复查
图片尺寸750x1000
这个是小肝ca 吗?
图片尺寸780x1040
病例分享----超声造影联合穿刺活检诊断转移性肝ca
图片尺寸2000x2667
的再一次建议下做了增强核磁共振,诊断意见是肝ca或者错构瘤或者其他
图片尺寸1080x1440
考虑巨块型肝ca
图片尺寸795x558
经典超声图片欣赏原发性肝ca
图片尺寸768x576
为大家科普一下:肝ca的主要检查指标有以下几个方面:1,常规 - 抖音
图片尺寸1080x1439
肝右叶占位,考虑肝ca,合并少许出血,肿块后方多个小结节灶,不排除子灶
图片尺寸870x664
肝ca介入
图片尺寸750x999
弥漫型肝ca该怎样治疗?去年得过恶 性黑色素瘤
图片尺寸852x1136