肠系膜上动脉超声

肠系膜上动脉压迫综合征与胡桃夹综合征
图片尺寸610x685
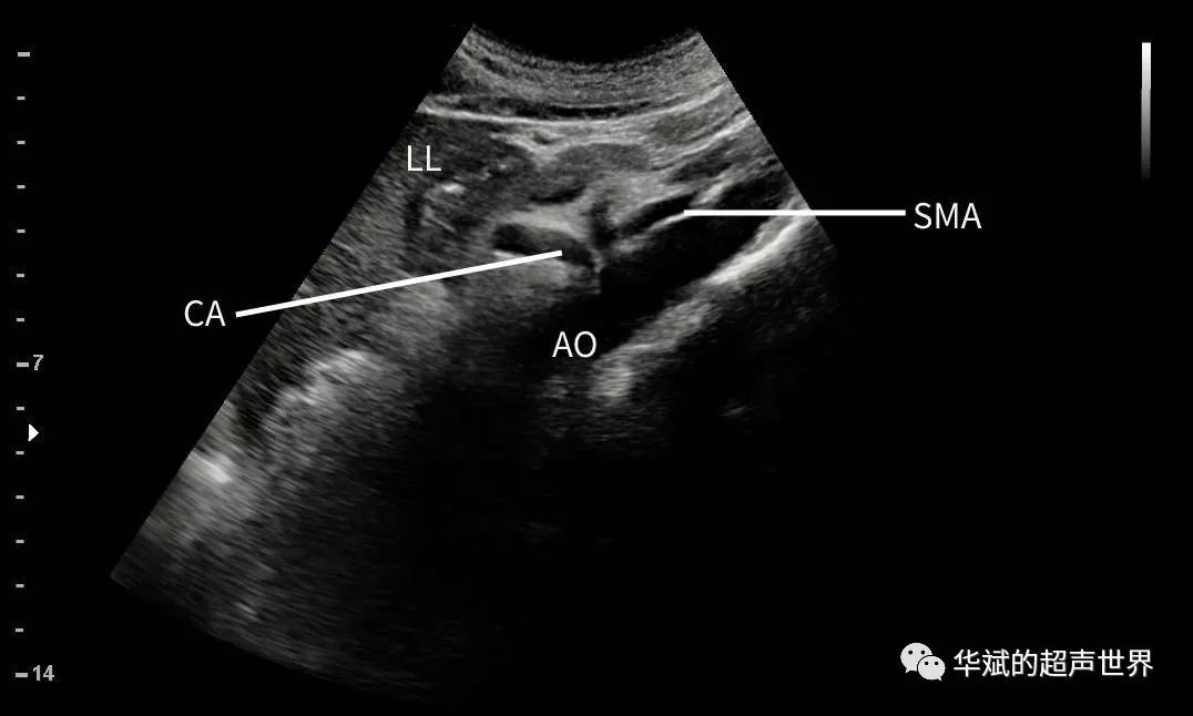
ll:左肝;sma:肠系膜上动脉;ao:腹主动脉;ca:腹腔动脉.
图片尺寸1076x646
肠系膜上动脉压迫综合征
图片尺寸704x614
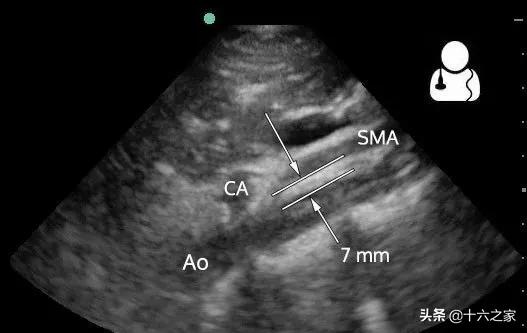
肠系膜上动脉综合征的超声表现
图片尺寸399x329
自发性肠系膜上动脉夹层——凌志新,常州七院
图片尺寸608x843
三维能量多普勒超声评价胎儿肠系膜上动脉和静脉的价值
图片尺寸700x1067
腹腔干可见中重度狭小(图 1 和图 2),肠系膜上动脉及肠系膜下动脉未见
图片尺寸699x600
课堂急性肠系膜上动脉血栓
图片尺寸1080x810
不明原因腹痛别忘了孤立性肠系膜上动脉夹层
图片尺寸504x354
急腹症肠系膜上动脉栓塞smae误诊分析请进
图片尺寸1639x1229
超声诊断先天性肠旋转不良_肠系膜
图片尺寸640x395
pw示:肠系膜上动脉(sma)正常频谱
图片尺寸643x556
肠系膜上动脉综合征
图片尺寸960x720
肠系膜上动脉栓塞
图片尺寸1080x1440
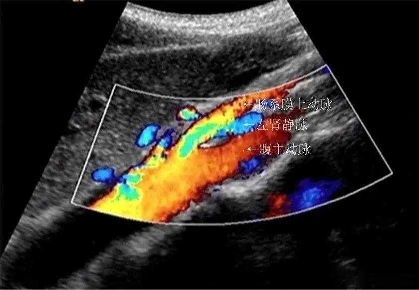
胡桃夹综合征超声检查胡桃夹综合征的诊断包含病史,体格检查及辅助
图片尺寸840x581
腹部超声慢性腹痛肠系膜上动脉综合征
图片尺寸527x333
经典超声内镜病例之腹主动脉主要分支的探查技巧和典型病例
图片尺寸660x450
急性a型主动脉夹层并发肠系膜灌注不良综合征1例
图片尺寸1575x931
应邀:胰腺"身后"的血管们
图片尺寸900x610
肠系膜上动脉的真性动脉瘤! - 超声医学讨论版 - 爱爱医医学论坛
图片尺寸768x576