肠系膜动脉栓塞

微创治疗急性肠系膜上动脉栓塞 - 好大夫在线
图片尺寸2736x3648
肠系膜上动脉栓塞
图片尺寸750x1000
肠系膜动脉栓塞是一种较凶险的疾病.
图片尺寸504x329
肠系膜上动脉栓塞病例分享
图片尺寸828x502
肠系膜上动脉栓塞
图片尺寸750x1000
急性腹痛病因之肠系膜上动脉栓塞
图片尺寸480x419
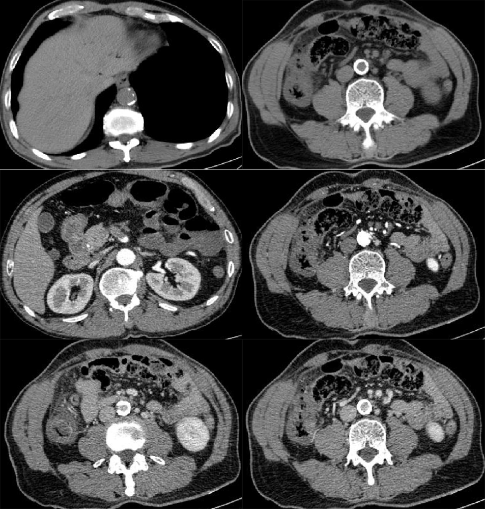
【病例】肠系膜上动脉栓塞2例ct影像
图片尺寸962x768
微创治疗急性肠系膜上动脉栓塞 - 好大夫在线
图片尺寸2736x3648
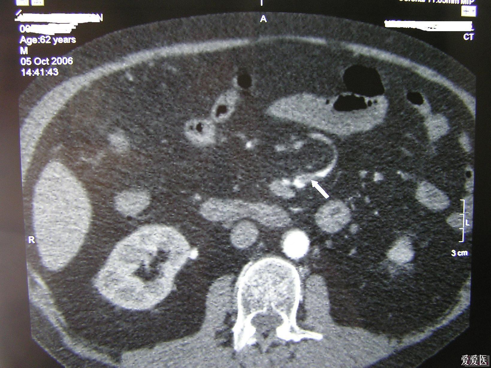
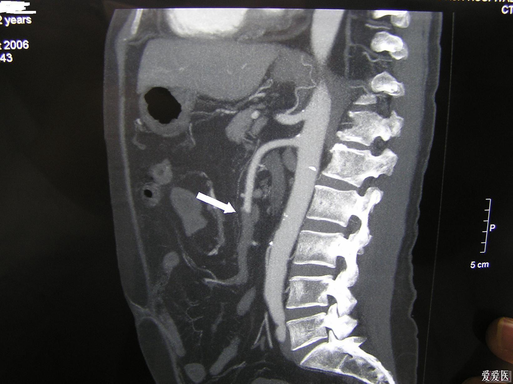
急腹症肠系膜上动脉栓塞smae误诊分析请进
图片尺寸1639x1229
区医疗集团南浔院区成功开展经皮肠系膜下动脉栓塞术
图片尺寸1000x1333
肠系膜上动脉栓塞
图片尺寸1080x1440
房颤患者的噩梦之不一样的急性腹痛——肠系膜上动脉栓塞
图片尺寸850x638
动脉_肠系膜_栓塞
图片尺寸1080x411
肠系膜上动脉栓塞怎么治疗
图片尺寸640x400
两个病例带你认识急性肠系膜血管栓塞
图片尺寸953x1000
肠系膜上动脉栓塞
图片尺寸750x562
急腹症肠系膜上动脉栓塞smae误诊分析请进
图片尺寸1639x1229
急性肠系膜上动脉栓塞ppt
图片尺寸1080x810
急性肠系膜上动脉栓塞ppt课件
图片尺寸800x600
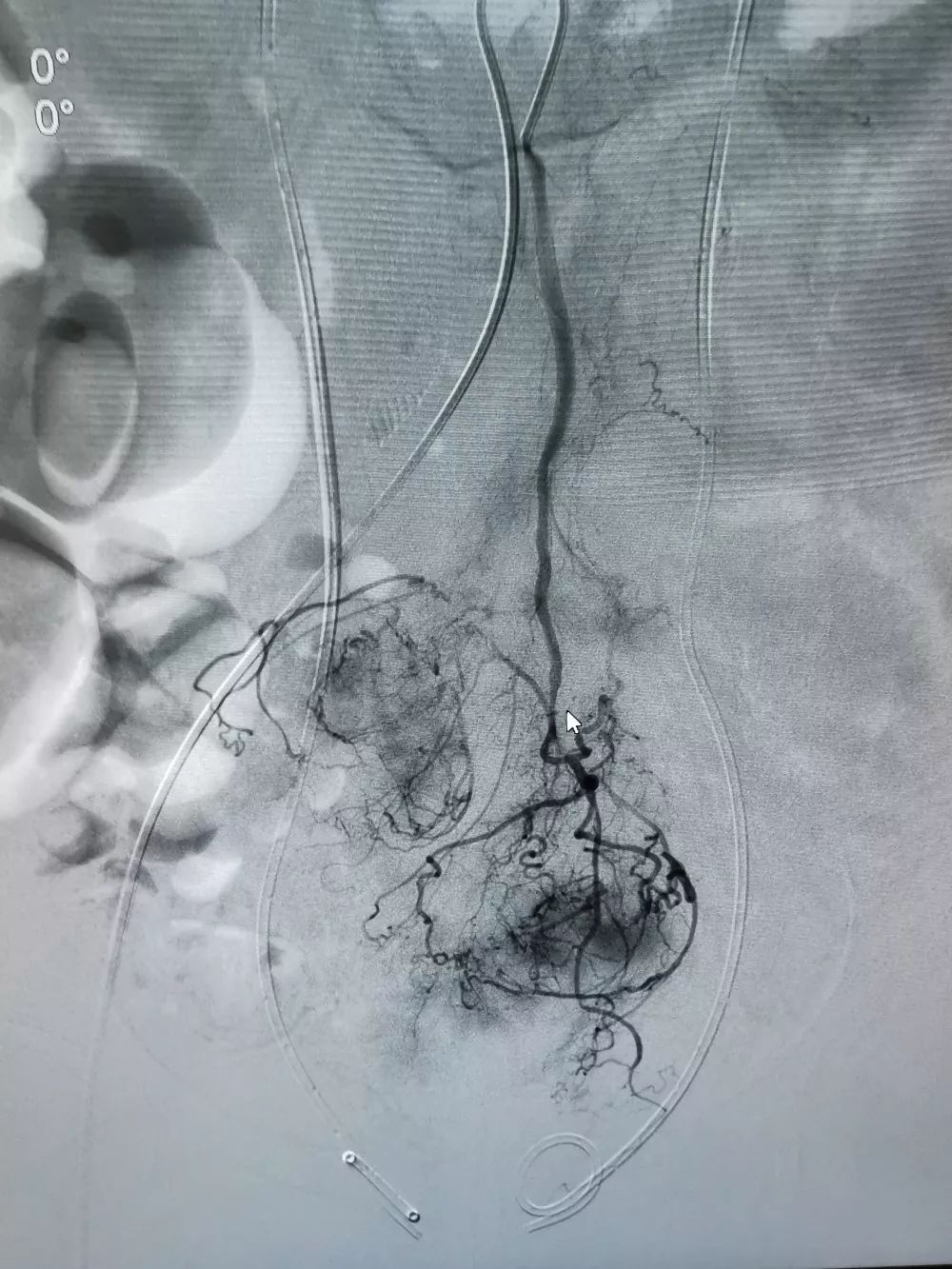
肠系膜动脉造影如图
图片尺寸2000x2667