肺动脉CTA

胸部ct学习系列之二肺动脉病变
图片尺寸557x827
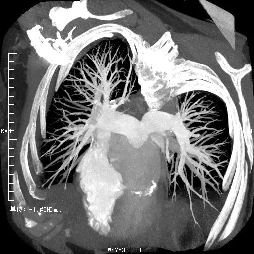
1. 肺动脉 cta 显示左右肺动脉远端可见明显栓塞,主肺动脉未见扩张
图片尺寸640x435
【小康说影像】肺动脉cta检测技术
图片尺寸512x512
胸部ct学习系列之二:肺动脉病变
图片尺寸500x411
肺动脉高压的ct影像学表现
图片尺寸1516x1132
肺动脉 cta 不会看?这篇教你轻松诊断肺栓塞!
图片尺寸960x720
入院2020.2.17日cta提示肺动脉主干栓塞.
图片尺寸2000x2667
肺动脉cta:(6月19日)未见明显栓塞征象双下肢深静脉彩超:(6月16日)
图片尺寸451x298
事不宜迟,许嗲嗲经绿色通道被快速送入放射影像科行肺动脉cta检查.
图片尺寸638x465
【小康说影像】肺动脉cta检测技术
图片尺寸512x512
科普视窗丨发自肺腑的告白肺动脉cta
图片尺寸371x317
正常肺动脉cta异常肺动脉cta高危人群:下肢静脉炎,骨折,卧床,服用避孕
图片尺寸512x512
肺动脉cta扫描技术探讨
图片尺寸1080x608
胸部ct学习系列之二肺动脉病变
图片尺寸639x632
资源16层螺旋ct正常肺动脉管径的测量
图片尺寸1008x909
正是因为久坐不动造成的,于是,医院给李老师做了一个ct肺动脉造影(cta
图片尺寸509x467
ct云课堂强化培训ct肺动脉成像
图片尺寸1080x527
肺动脉干增宽,临床怀疑肺栓塞,为了进一步明确诊断,在我科行肺动脉cta
图片尺寸750x814
冠状动脉cta你了解吗
图片尺寸1024x1024
新技术开展-冠状动脉cta技术
图片尺寸1702x1276