肺梗死

驼峰征肺梗死与肺栓塞是什么关系
图片尺寸1000x827
漫画什么电视看太久还会伤到肺
图片尺寸523x747
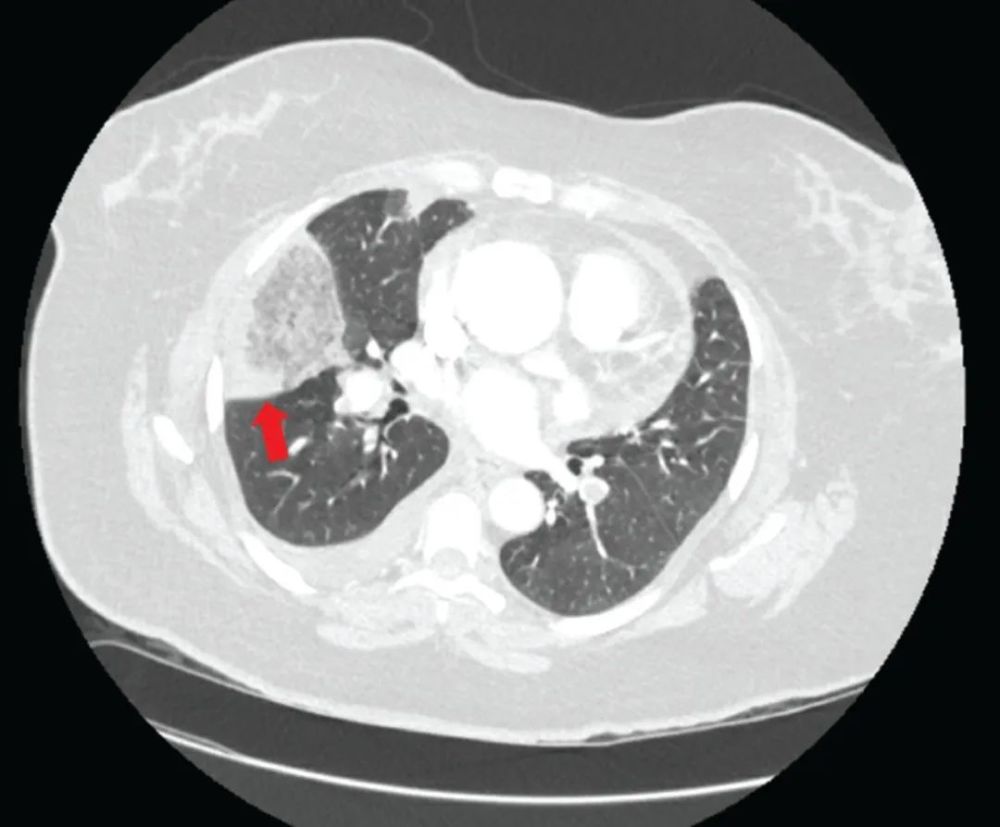
肺梗死的ct表现
图片尺寸512x512
肺梗死的ct表现
图片尺寸512x512
论坛
图片尺寸1028x768
肺梗死的ct表现
图片尺寸512x512
肺梗死的ct表现
图片尺寸512x512
肺栓塞合并肺梗死所致胸痛,示意图显示肺梗死后发生 血性胸液;胸片示
图片尺寸1080x810
肺梗死的ct表现
图片尺寸512x512
扩心病,心脏内血栓,肺栓塞,肺梗死……拿什么拯救你,孩子?
图片尺寸832x578
目前认为肺栓塞导致的胸痛主要来自于肺动脉扩张或毗邻胸膜部分肺梗死
图片尺寸1080x567
肺梗死的ct表现
图片尺寸512x512
肺梗死的ct表现
图片尺寸512x512
肺梗死的ct表现
图片尺寸512x512
如何进行突发急性肺梗死的应急救治疗一一科室危重病例讨论分享
图片尺寸750x718
肺梗死的ct表现
图片尺寸512x512
肺梗死的ct表现
图片尺寸512x512
肺梗死的ct表现
图片尺寸512x512
典型病例分享肺动脉栓塞并肺梗死
图片尺寸750x1500
图2-9 肺梗死2.
图片尺寸348x435