肺泡上皮细胞

原代培养之小鼠胎鼠肺泡Ⅱ型上皮细胞
图片尺寸591x566
人Ⅱ型肺泡上皮细胞
图片尺寸394x339
肺泡由单层上皮细胞构成的半球状囊泡.
图片尺寸246x281
如何分离纯的肺泡上皮细胞
图片尺寸866x600
大鼠肺泡上皮细胞
图片尺寸1600x1200
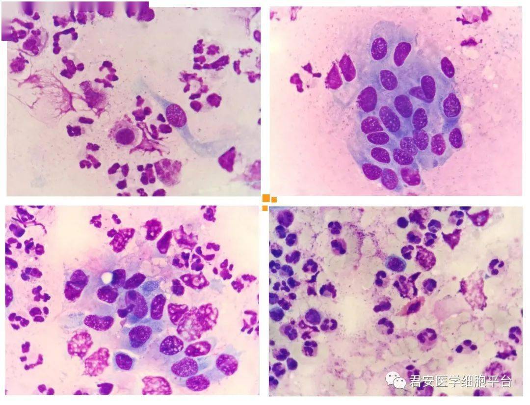
肺泡灌洗液细胞学检查流程, 常见有形成分及案例分析_诊断_标本_支
图片尺寸1080x612
如何区分肺泡上皮细胞与炎症细胞?
图片尺寸2560x1920
型细胞许多关于aec ii功能的研究是使用小鼠或人肺泡上皮细胞系进行的
图片尺寸503x656
肺泡隔b,尘细胞c,Ⅰ型肺泡细胞d,Ⅱ
图片尺寸1080x755
检验诊断毛刷:柱状上皮细胞易见,可见较多中性粒细胞,偶见嗜酸性粒
图片尺寸1080x825
肺泡40
图片尺寸657x492
科技文摘汤楠介绍,肺泡是由单层上皮细胞构成的,非常非常薄,最薄的
图片尺寸650x409
而肺泡表面液体层,i型肺泡细胞与基膜,薄层结缔组织,毛细血管基膜与内
图片尺寸500x375
维持肺泡表面活性剂的稳态,与肺泡上皮细胞层一起维持肺的健康状态
图片尺寸1024x768
肺泡灌洗液临床诊断支气管粘膜炎症讨论病例中美加非妇科细胞学交流群
图片尺寸4032x3024
Ⅱ型肺泡上皮细胞 kl-0003
图片尺寸800x538
p1:图中有g 球菌和g-杆菌存在以及纤毛柱状上皮细胞p2:肺泡上皮细胞
图片尺寸1080x1438
【求助】原代二型肺泡上皮细胞 求鉴定
图片尺寸640x480
小鼠肺泡上皮细胞mle-12
图片尺寸1280x958
l2 (大鼠肺泡上皮细胞)
图片尺寸804x600