肺癌中央型肉眼观换图

超中央型肺癌,不建议手术
图片尺寸736x968
中央型肺癌的治疗
图片尺寸1280x720
中央型肺癌
图片尺寸268x201
🌸#医生讲肺癌
图片尺寸4096x3072
45岁男性中央型肺癌
图片尺寸1080x733
丁香园论坛>呼吸胸外>帖子详情>增强ct显示中央型肺癌(腺癌)侵犯左心
图片尺寸4032x3024
12):肺癌的"真早期"与"伪早期"理论可解释几乎一切临床现象!
图片尺寸1080x917
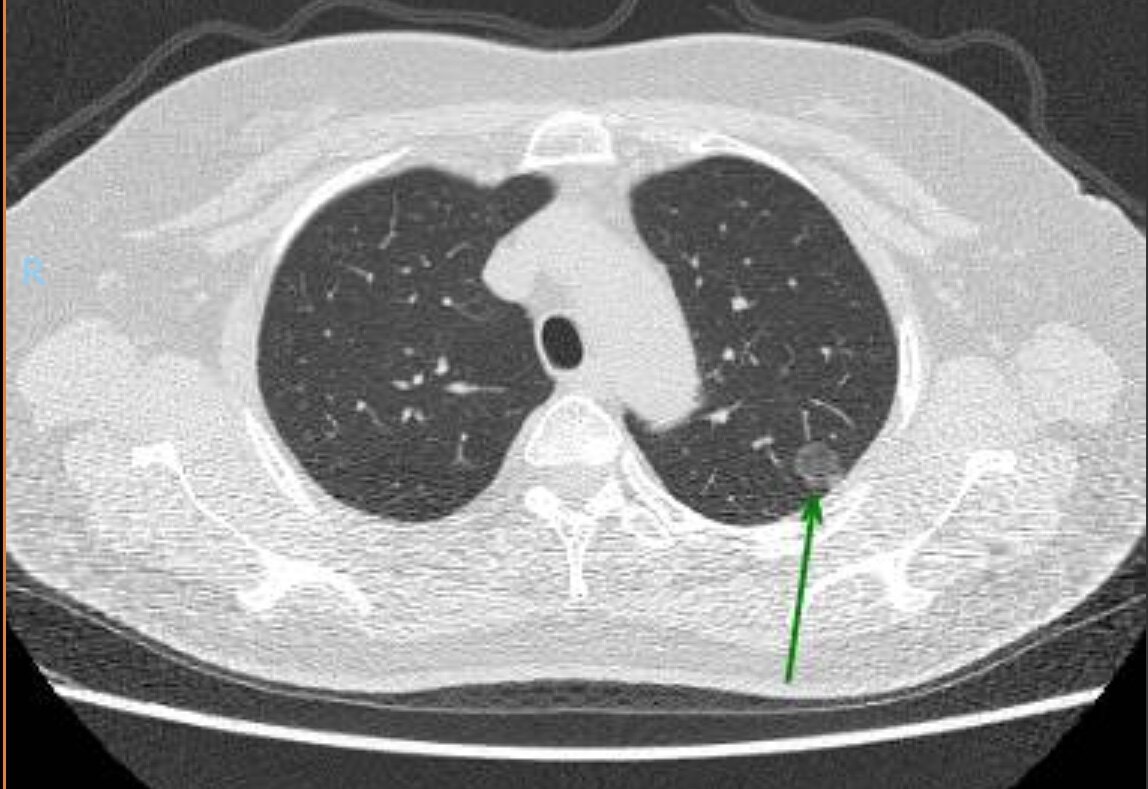
刘懿博士说肺癌(八六七八)这个病灶可不是肺大泡而是恶性肿瘤 大家都
图片尺寸1116x820
丁香园论坛>呼吸胸外>帖子详情>增强ct显示中央型肺癌(腺癌)侵犯左心
图片尺寸3024x3002
经mdt团队讨论,决定采用粒子植入治疗.
图片尺寸1080x1442
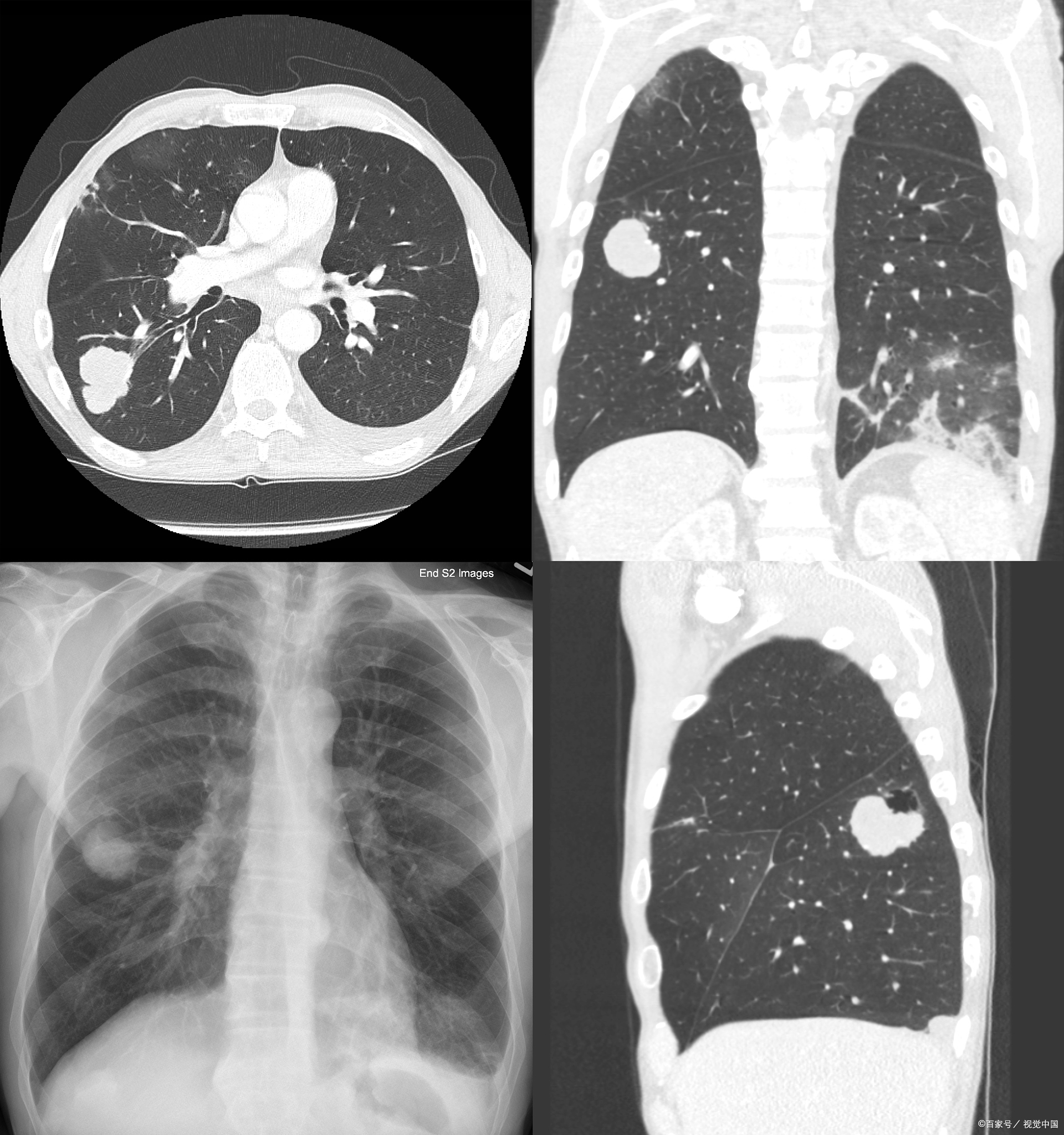
刘懿博士说肺癌(八四六四)六十岁可不算老,发现了五厘米肺占位 现在
图片尺寸1115x736
如果我们说的这个早期肺癌,是指"真正的"早期肺癌,也就是不典型腺瘤样
图片尺寸1079x1055
刘懿博士说肺癌(八一九一)体检出6mm带空泡的圆形肺磨玻璃结节 天津
图片尺寸1115x846
早期肺癌的成功治疗案例:手术治愈无需化疗或放疗
图片尺寸4608x3456
刘懿博士说肺癌(八六四五)肺部占位考虑恶性,肿瘤内科让找外科 有一
图片尺寸1116x844
肺癌问医生
图片尺寸1148x789
今天早上查房的时候,看到一位病友一脸憔悴,就站在角落那里哭.
图片尺寸1404x1076
她才51岁,不抽烟,怎么也会得肺鳞癌?真相在她老公卧室
图片尺寸640x401
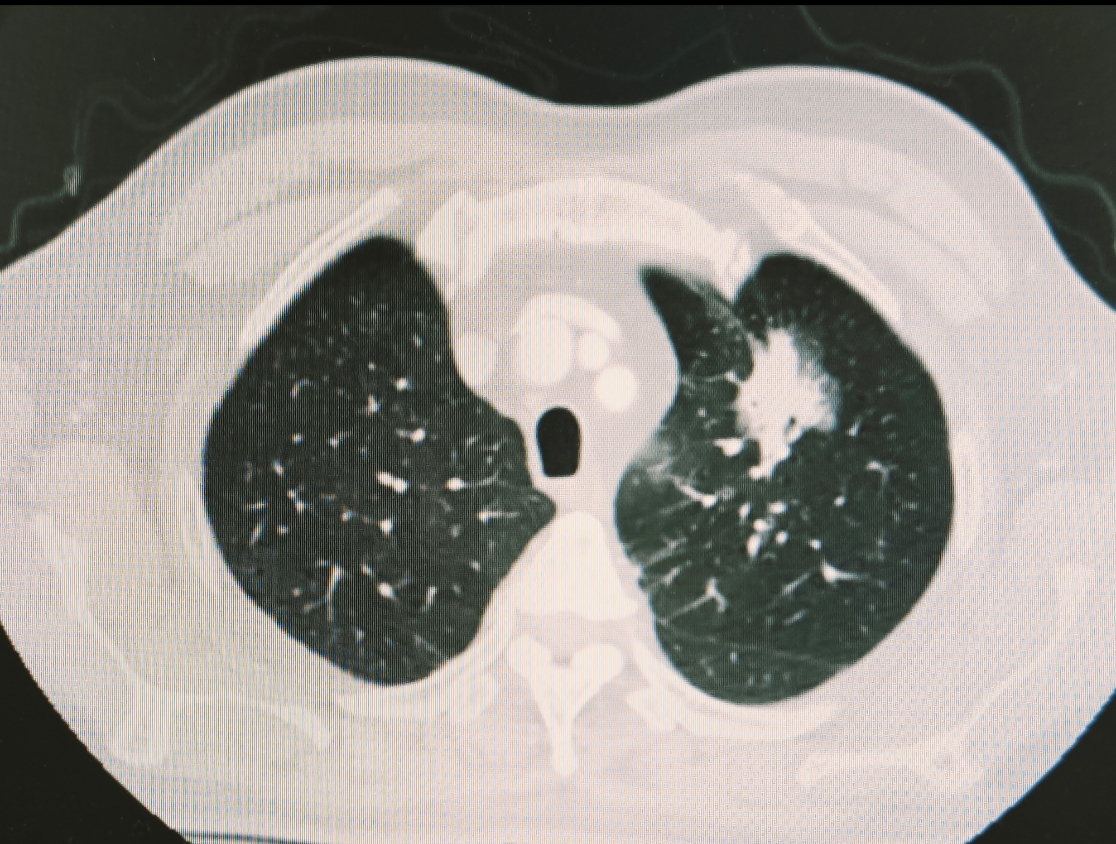
刘懿博士说肺癌(八六五八)肺结节从21长到了27毫米体积增大多少 前段
图片尺寸1116x916
70,80岁老人患中央型肺癌,无法手术,能做射波刀吗?
图片尺寸1920x2048