肺癌转移

肺癌转移其他脏器会导致这些症状很可能出现在肺癌本身症状之前
图片尺寸575x431
肺癌的转移部位有哪些
图片尺寸494x355
哈医大二院胸外科经典病例之肺癌患者颈部淋巴结交叉转移 - 好大夫
图片尺寸2208x2190
小细胞肺癌的常见转移部位
图片尺寸892x815
左肺癌脑转移,左肺肿瘤穿刺活检证实为小细胞内分泌癌,脑转移伽 - 抖
图片尺寸788x788
哈医大二院胸外科经典病例之肺癌患者颈部淋巴结交叉转移 - 好大夫
图片尺寸2208x2307
最新研究揭示肺癌转移机制肺癌转移时间比临床发现早27年
图片尺寸949x627
肺癌tnm分期
图片尺寸640x877
女19岁甲状腺癌肺广泛转移肺部满天星般转移瘤
图片尺寸972x607
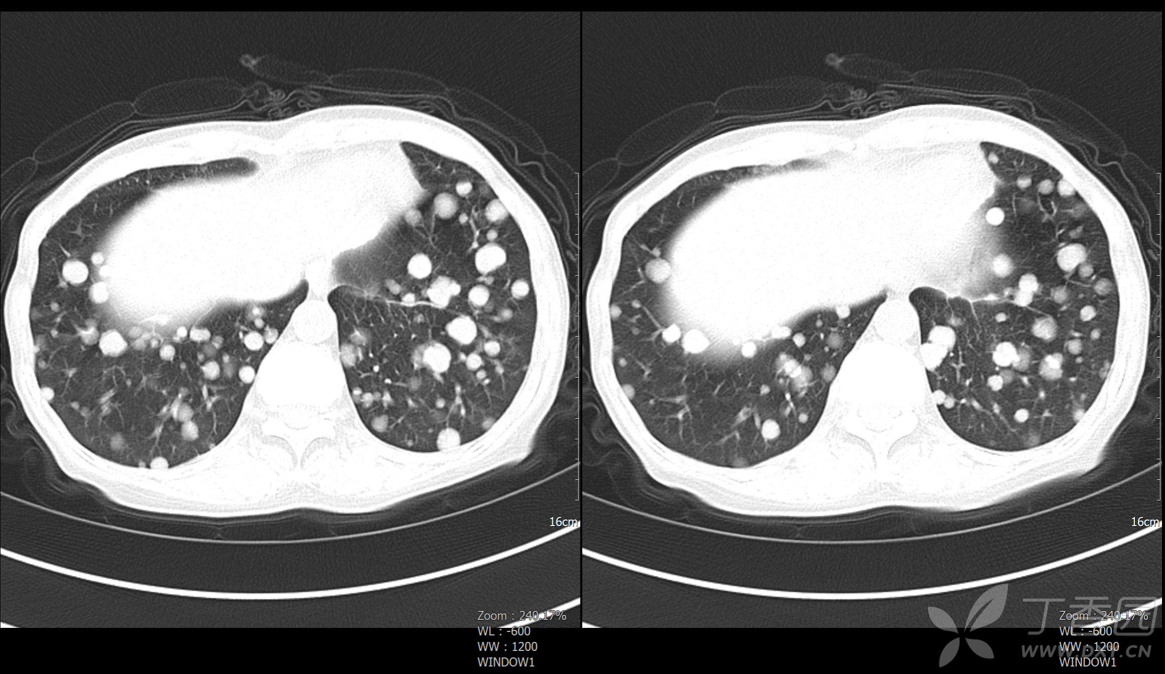
典型病例066:肺癌肺转移,密集恐惧症者忌 - 丁香园论坛
图片尺寸2324x1344
转移肺转癌是指的什么意思?移性肺癌症状有哪些症状?
图片尺寸640x528
于2010年11月发现左肺癌双肺转移,在北大医院行3次化疗因疗效不佳及不
图片尺寸600x393
肺转移性肿瘤
图片尺寸350x257
每日健康小贴士在胸腔积液中发现了肺肿瘤已经局部转移的肺癌能治好的
图片尺寸1080x1920
为什么说全身性治疗对肺癌患者至关重要
图片尺寸1920x1280
肺癌术后胸膜转移一例
图片尺寸1199x1598
肺转移瘤的13个不典型表现上
图片尺寸317x306
肺癌转移会有什么症状表现
图片尺寸550x540
肺癌转移相关资讯 - 科界
图片尺寸542x543
肺癌胸外转移
图片尺寸568x450