肺破裂

一个月时间,患者的肺烂破了
图片尺寸3024x4032
肺挫裂伤和肺血肿
图片尺寸1080x810
肺破裂修补 肺大泡切除术
图片尺寸1080x1440
气管支气管破裂或穿孔原则上均应手术治疗,保守治疗仅限于少数症状
图片尺寸818x615
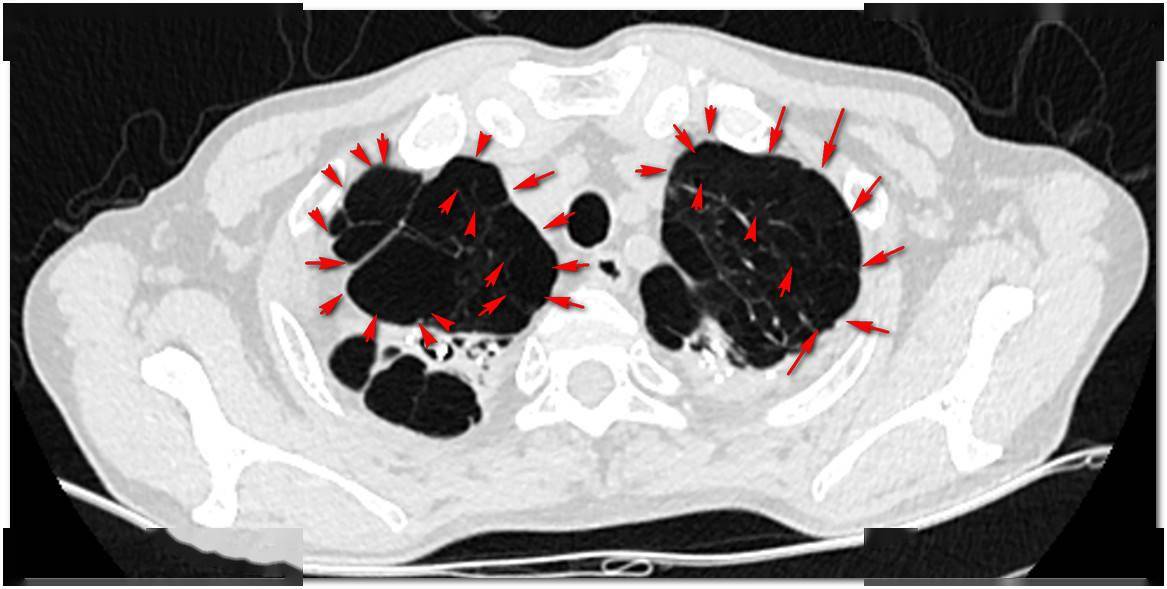
左肺(影像中为右侧)毁损严重2019年,小夏因肺部不适来武汉市肺科医院
图片尺寸554x418
气管肿瘤,气管狭窄,巨大胸腔肿瘤(>5cm),局部晚期肺癌,肺移植属于急症
图片尺寸960x720
20岁小伙的肺全部烂掉!连着7年以网吧为家
图片尺寸640x512
女大学生血管破裂,肺部出现病变!医生:身体出现4个信号切莫忽视!
图片尺寸415x307
弥漫性肺泡出血
图片尺寸1204x956
开放性胸外伤胸壁缺损左肺破裂中肿下沉医生5小时抢回生命
图片尺寸400x525
肺大疱破裂漏气压缩四成
图片尺寸800x600
"钥匙孔"解决肺破裂,血气胸
图片尺寸1600x1200
【影像读片】右肺毁损
图片尺寸640x910
肺切除手术_介绍_治疗介绍 - 好大夫在线
图片尺寸1000x750
【临床前沿】肇庆一院这群医护人员太"硬核",把急危重食管破裂患者给
图片尺寸1080x812
65岁老汉烂肺一年"炸"六次,上厕所再次破裂,胸部插管化险为夷
图片尺寸1167x589
右侧膈肌破裂2.右下肺压迫性肺不张.
图片尺寸4030x1958
1月19日,患者被犁地机"犁"伤胸部致开放性血气胸,肺裂伤肺内血肿形成
图片尺寸1080x1440
图2 切下的肺大泡标本注意菲薄的肺泡壁,破裂后可能导致致命的张力性
图片尺寸807x538
此时 肺大疱比较薄弱的地方发生破裂,出现微小孔洞,气体从这些"微创孔
图片尺寸960x721