肺穿孔

机器人辅助使哈医大四院治疗肺磨玻璃结节彻底进入段时代
图片尺寸1080x608
美年轻女子感染新冠病毒后致肺部变黑布满小孔已接受双肺移植手术
图片尺寸306x517
四个空脏脏器穿孔病人回顾
图片尺寸2200x1650
以为电子烟比香烟健康18岁小鲜肉抽1年半肺穿洞出现黑点险丧命
图片尺寸616x367
左上肺贯通出口和胸壁异物(绿色区域为肺贯通出口约3cm,黄色区域为
图片尺寸2667x2000
病例分享胸腔穿孔
图片尺寸1080x1440
奉节县中医院丨开展首例ct引导下肺穿刺活检术
图片尺寸1242x2208
险3cm钢钉穿透背部直刺左肺
图片尺寸1080x1440
肺穿孔
图片尺寸621x585
肺穿刺活检术
图片尺寸1080x810
严重威胁患者生命,如果嵌顿时间太久,甚至可导致气管穿孔致患者死亡
图片尺寸540x720
经皮肺穿刺活检术——我院呼吸科开展了
图片尺寸2667x2000
肺小结节穿刺活检两例
图片尺寸1967x1200
支气管阻塞超声引导下经皮肺穿刺活检busptnb在重症肺部疾病插管患者
图片尺寸862x1086
肺部空洞的鉴别诊断
图片尺寸960x720
肺部空洞的鉴别诊断
图片尺寸960x720
机器人辅助使哈医大四院治疗肺磨玻璃结节彻底进入段时代
图片尺寸1080x608
彩色多普勒超声引导下胸腔穿刺可避免血管撕裂
图片尺寸625x433
消化道穿孔的x线表现
图片尺寸500x623
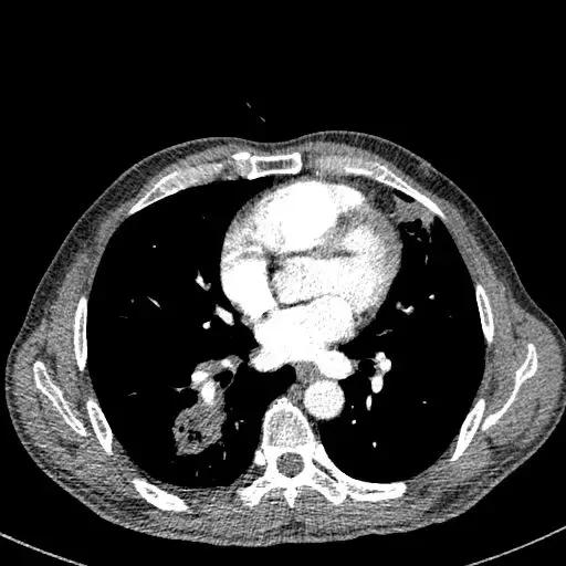
双肺多处空洞,病因竟不止一个
图片尺寸512x512