肺纹理

影像诊断中"肺纹理增多"该如何理解?
图片尺寸1062x1273
支气管扩张症 平片 两下肺纹理增 粗,模糊,集拢 和排列紊乱,可 见蜂窝
图片尺寸1080x810
影像诊断中"肺纹理增多"该如何理解?
图片尺寸640x474
双肺纹理增多是什么意思
图片尺寸500x447
肺纹理的分类
图片尺寸450x464
正常肺纹理(图片)
图片尺寸548x481
胸片--双肺纹理增多
图片尺寸1080x810
两肺纹理增多,模糊代表什么意思
图片尺寸2048x1255
不发热,不咳嗽,x线报告咋就"肺纹理增多,增粗"了呢?
图片尺寸584x671
ppt x线图像的特点 白影(高密度):骨骼,纵 隔,心脏大血管及肺纹理 灰
图片尺寸1080x810
解惑体检报告中的一个常见描述,肺纹理增多增粗是什么意思?
图片尺寸1756x1162
影像诊断报告里的"肺纹理增多,紊乱"该如何理解?
图片尺寸541x381
请教,为何右侧肺纹理不明显?
图片尺寸2503x2184
做胸片检查发现双肺纹理增多是什么意思?
图片尺寸640x361
胖胖男子咳痰带血一周,肺里开出了「烟花」,原因究竟为何?
图片尺寸604x516
原创ct检查发现肺纹理变粗了确定是肺结节吗提醒谨防肺病恶化
图片尺寸1242x1313
肺纹理不清跟磨玻璃是一个意思吗它和肺癌有关系吗
图片尺寸640x378
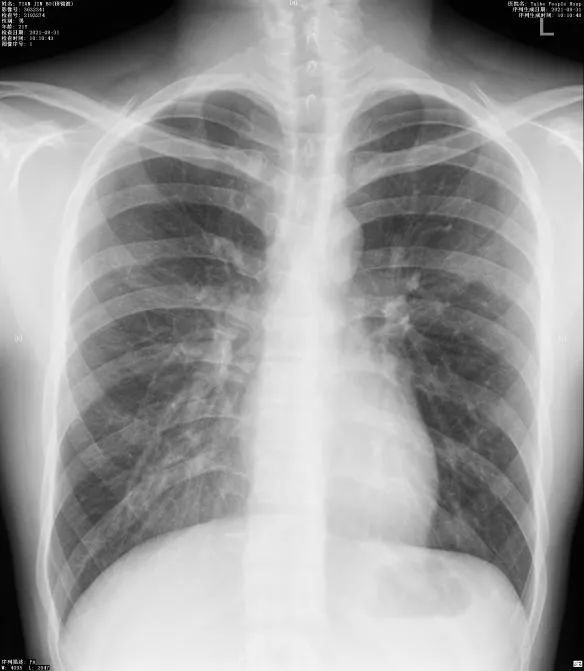
影像报告经常出现的"肺纹理增粗",严重吗?听听放射科医生讲解
图片尺寸512x512
再讲讲胸片里面的肺纹理增粗和斑片影
图片尺寸926x796
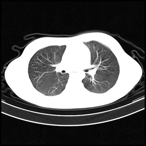
先来看一下正常人的胸部ct:胸廓的横径和前后径的比例是3:2,双肺纹理
图片尺寸512x512