肺结石

尿酸"新标准"已揭晓,男女标准不一样,看看你还高吗
图片尺寸640x386
导语:肺结石是肺病中发生几率较高的一种,其发病初期的时候,身体表现
图片尺寸640x378
常德一男子肺部长满小结石因父母近亲结婚惹祸
图片尺寸550x369
支气管结石,你见过吗?
图片尺寸566x445
病例肺里的小石头是怎么来的
图片尺寸430x468
肺结核的传播途径是什么 肺结核吃什么好
图片尺寸287x229
事发海安:肺结石堵住气管,兵哥哥街头救人
图片尺寸690x518
女子支气管内藏"古化石"结石咳了20多年(图)
图片尺寸500x449
长了肺结节是否适合接种新冠疫苗
图片尺寸1600x1528
结石|病灶|黏膜_网易订阅
图片尺寸570x472
回溯她的整个病情, 她多年的浑身酸痛,便秘,以及这次被发现的肾结石
图片尺寸592x366
感冒引起肺部感染来医院就诊,在临床检查过程中,发现小孩还患有肾结石
图片尺寸640x420
肺小结节影像诊断
图片尺寸708x637
淄博市中心医院西院区消化内科成功治疗一例胃内巨大结石
图片尺寸555x441
老太胆囊长660粒结石全因多吃这物 (2)
图片尺寸400x400
曾做穿刺,电话询问结果:尿液样液体,wbc5个) 彩超示 右肾多发性结石
图片尺寸4320x3240
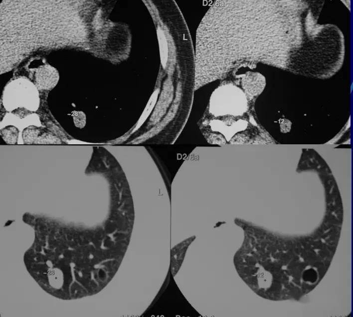
听过肾结石,胆结石,咋还有肺结石?| chest病例_网易订阅
图片尺寸660x329
女病人哭诉活60岁,咳痰咳40年,专攻女性中肺的肺炎怎样形成的
图片尺寸755x546
吃完鸡蛋再吃它们,可能会中毒甚至肺结石,后两种尤其要注意
图片尺寸580x414
安乡县中医医院杨育新教授三镜联合治疗复杂性肝内胆管结石
图片尺寸863x969