肺结节图片高清图片

肺结节的真实世界4 - 好大夫在线
图片尺寸3024x4032
大叔0.6厘米肺结节不放心上,3年没复查变晚期,结节可以不复查吗
图片尺寸640x436
什么样的肺结节要及时干预不然容易癌变
图片尺寸1270x962
小南话科普肺结节都要手术吗
图片尺寸498x388
查出肺结节,怎么复查?查出肺结节也不可怕,90%以上都是良性 - 抖音
图片尺寸1919x1440
肺结节的真实世界6
图片尺寸3024x4032
刘懿博士说肺癌二五九〇切之前知道俩肺结节是良性但不是一种病
图片尺寸1354x913
发现肺结节怎么办,读完这篇文章,你就不慌了
图片尺寸1080x1096
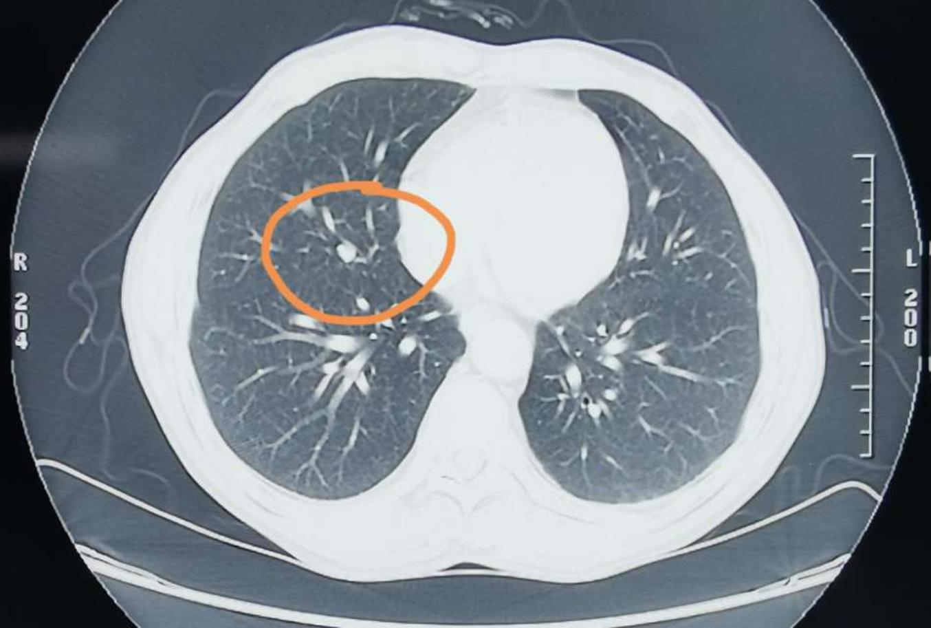
如此早期的肺结节你能发现吗
图片尺寸720x960
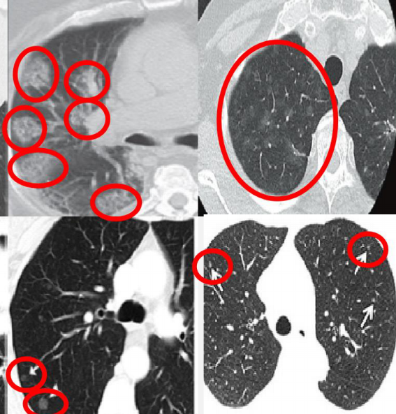
多发肺结节患者为什么越来越多?
图片尺寸567x593
肺结节读片(21):鉴别11mm的实性结节良恶性的技巧 - 好大夫在线
图片尺寸1080x918
肺结节到底是良性,还是恶性,如何辨别?这些特征需警惕
图片尺寸640x687
刘懿博士说肺癌(二亖一六)9毫米肺结节形态不规则,一定是肺癌么?
图片尺寸2273x1628
令人色变的肺部结节图片
图片尺寸480x348
肺结节图片
图片尺寸433x300
体检发现肺结节,一定是肺癌吗?
图片尺寸660x440
浙江治疗肺结节好的医院
图片尺寸553x372
多发肺结节,随访六年半,无变化
图片尺寸1942x1746
肺结节如何分辨,我手把手教你!
图片尺寸1280x1280
体检发现肺结节我是不是要死了
图片尺寸640x525