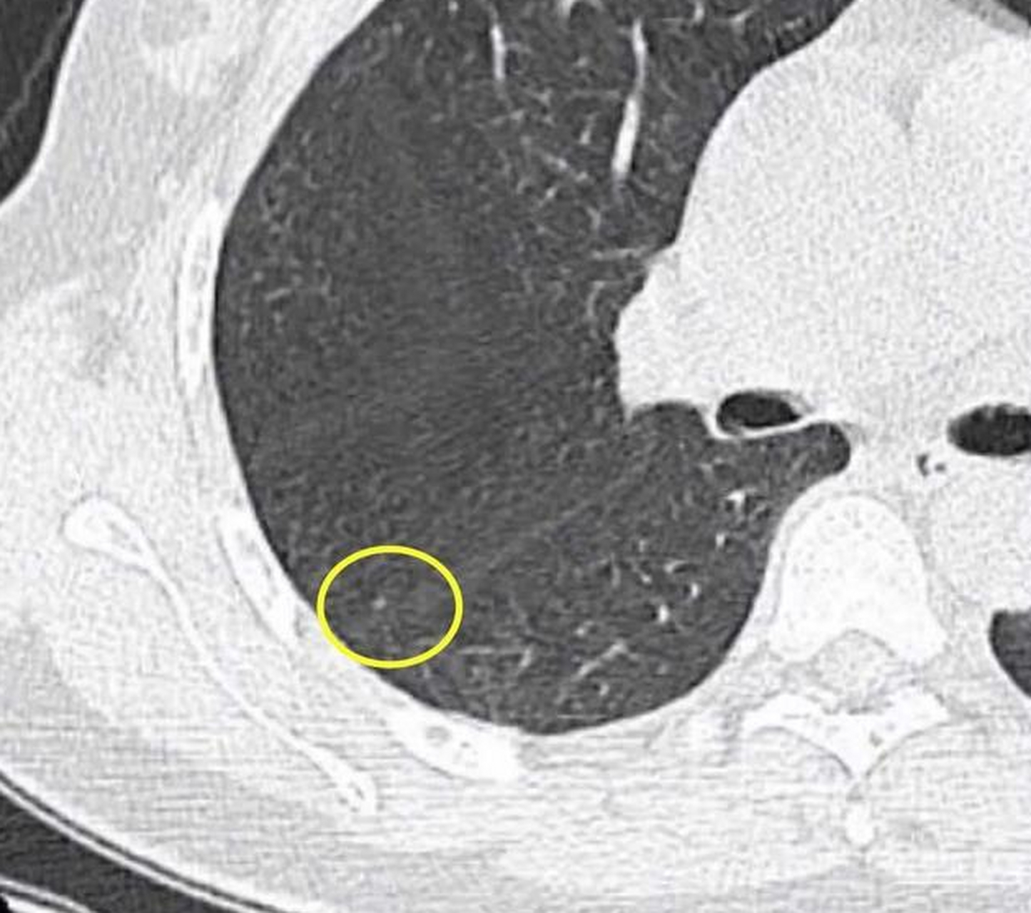
肺结节3mm

隔离隔离病房工作结束体检,右下肺3mm,光滑,微小结节(没有纵膈窗).
图片尺寸924x1920
右肺下叶小结节3mm
图片尺寸1600x1200
刘懿博士说肺癌一二八九发现3mm肺结节提出来13个问题怎
图片尺寸1079x1379
肺小结节3mm会自愈吗_100个人就有40个肺结节-第2张图片-体检知音
图片尺寸3088x2320
小于5毫米的肺结节要不要马上手术?
图片尺寸1445x1280
43岁大姐肺内查出3mm结节,一年后接近消散?她是怎么做到的?
图片尺寸627x405
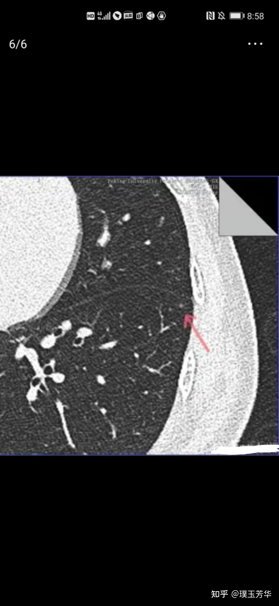
3mm肺结节让北京患者焦急寻医我回复其实随访都不用
图片尺寸1133x2454
什么样的肺结节要及时处理不然容易癌变
图片尺寸640x457
大家看看这个肺结节要紧吗
图片尺寸3968x2976
肺结节3mm
图片尺寸698x800
结节浸润在 rul. 正常的心脏大小.鉴别诊断钙肺,tb 肉芽肿.jpg
图片尺寸3628x3000
肺部小结节
图片尺寸3264x2448
ct引导下肺结节的穿刺活检
图片尺寸1600x1200
女性,肺结节大于1厘米,该不该手术切除?
图片尺寸640x666
女子肺部查出3mm结节,一年后几乎消失?她的养肺方法或可借鉴
图片尺寸640x475
肺结节吃什么食物散结节最快_散结节的土方偏方_甲亢治疗土方偏方验方
图片尺寸1574x1600
肺部5mm微小实性结节,有可能是恶性程度最高的肺癌_肺癌_症状表现
图片尺寸866x679
【讨论】30岁男性,体检发现右下肺结节影
图片尺寸1896x1400
右下肺见8mmx9mm磨玻璃密度结节
图片尺寸1200x675
图文教你看懂恶性肺结节的ct表现
图片尺寸3968x2976