肺结节7mm

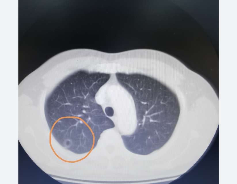
肺ct显示右肺中下叶7mm浅淡结节影,密度不均匀,重建显示为片状病灶
图片尺寸3264x2448
好运模式开启多位专家判断高危的7mm磨玻璃肺结节变成斑片影
图片尺寸541x560
刘懿博士说肺癌二〇六七最大7mm肺磨玻璃结节抗炎后不用切了
图片尺寸2748x3664
刘懿博士说肺癌二〇六七最大7mm肺磨玻璃结节抗炎后不用切了
图片尺寸2748x3664
长了肺结节不用怕
图片尺寸801x595
肺结节11*7mm实性结节需要处理吗?
图片尺寸768x1024
问诊分析20211129发现3年了的肺磨玻璃结节没有吸收会是肺癌吗
图片尺寸930x888
刘懿博士说肺癌(三五二〇)39岁初次发现7mm肺磨玻璃结节担心是癌 - 好
图片尺寸1600x1590
中药消散7mm多磨玻璃肺结节,避免手术,如获新生
图片尺寸640x360
左肺7mm结节切除后突现16mm磨玻璃结节精准诊断定心丸建议随访
图片尺寸1024x719
安徽医生7mm磨玻璃结节是否手术?典型的微浸润肺腺癌手术可治愈
图片尺寸640x579
悉心养育21年脑瘫儿,长沙母亲漏切7mm纯磨玻璃肺结节心酸求助
图片尺寸640x371
双肺下叶7mm磨玻璃结节,3个月后右肺结节不见,她是这样治疗的
图片尺寸640x615
44岁大姐查出7mm肺结节,半年结节逐渐消失,医生:方法值得借鉴
图片尺寸640x463
刘懿博士说肺癌二〇六七最大7mm肺磨玻璃结节抗炎后不用切了
图片尺寸2748x3664
核保案例分享:磨玻璃肺结节7mm,重疾险除外承保_腾讯新闻
图片尺寸1000x506
刘懿博士说肺癌五八五八7mm肺磨玻璃结节切除是恶性和胸闷有关么
图片尺寸700x640
刘懿博士说肺癌三五二三肺磨玻璃结节里还有小空洞切出来啥病
图片尺寸823x640
肺结节7mm→4mm "太感谢他了"
图片尺寸1080x1440
45岁大姐查出7mm肺结节,半年后结节逐渐消失,这些做法值得借鉴
图片尺寸1280x966