肺脓肿CT

内壁光滑均匀强化的肺脓肿,抗炎治疗12天明显好转——张军营,安阳市
图片尺寸2629x1200
其它 肺脓肿 写美篇2017.12.12双源ct
图片尺寸1600x1200
猜一猜这个肺脓肿的原因
图片尺寸640x1280![【影像读片】是肺脓肿?-有病理 [病例帖]](https://imgs.wantubizhi.com/img/ADDA3C5D760C6828B77B505A29D43E838F4771FEC9B60C6AF1A15F5F035216BE0A1E7AEE5EFEB1085F7963247C1B894F27716C8485BDC4C849691F2AE2DC0482C1EFF215F1F9FA65575BCCDAEA5CA628375E30FF3A29164B84CD4292B12D161D)
【影像读片】是肺脓肿?-有病理 [病例帖]
图片尺寸1920x1080
高热咳嗽咳痰 胸闷气短 小心肺脓肿
图片尺寸802x802
临床诊断肺脓肿
图片尺寸814x719
肺脓肿
图片尺寸915x778
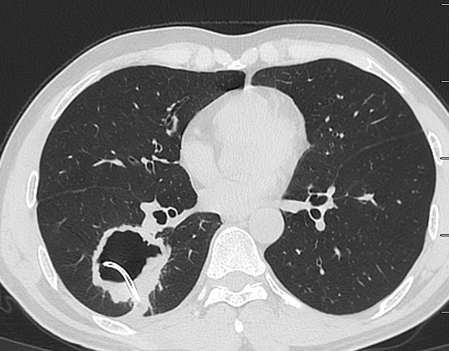
看到胸膜下肺脓肿就放引流管大错特错
图片尺寸643x502
其它 肺脓肿 写美篇2017.12.12双源ct
图片尺寸1600x1200
肺脓肿-ct(图)
图片尺寸550x916
肺脓肿
图片尺寸1080x810
肺脓肿的常见类型及诊疗
图片尺寸756x1344![合并肺脓肿? [病例帖]](https://imgs.wantubizhi.com/img/ADDA3C5D760C6828B77B505A29D43E833B933E9F254ADD2EF2A1E13410FD37EAA71C71B22BB0A7AB3956AFA109F0EFFA0509C449F315411D13E45C0706837415390650F39D86A1B17FFE8751855C6562F440096B74EF86621A920B6D133389C6)
合并肺脓肿? [病例帖]
图片尺寸1840x3264
轮值病例207期肺脓肿伴继发性机化性肺炎
图片尺寸960x720
并行右侧胸腔置管引流术,术后复査胸部ct仍提示肺脓肿,右侧胸腔积液较
图片尺寸1080x1080
看ct表现是肺脓肿支气管镜得出最后答案
图片尺寸3264x1952
【讨论】考虑慢性肺脓肿,请大家帮忙看看.
图片尺寸1460x1740
其它 肺脓肿 写美篇2017.12.12双源ct
图片尺寸1600x1200
血源性多发性肺脓肿
图片尺寸823x516
外二科抢救肺脓肿病人
图片尺寸1599x1199