肺腺癌病理切片图

肺磨玻璃结节是个淘气鬼(五):比较难对付的浸润性腺癌(iac)_肺癌_介绍
图片尺寸1525x1316
求肺病理切片
图片尺寸615x968
早期肺腺癌病理诊断若干问题
图片尺寸640x539
衡道丨干货肺腺癌的诊断体系浸润性肺腺癌
图片尺寸1080x647
经典回顾肺癌的病理影像学
图片尺寸960x720
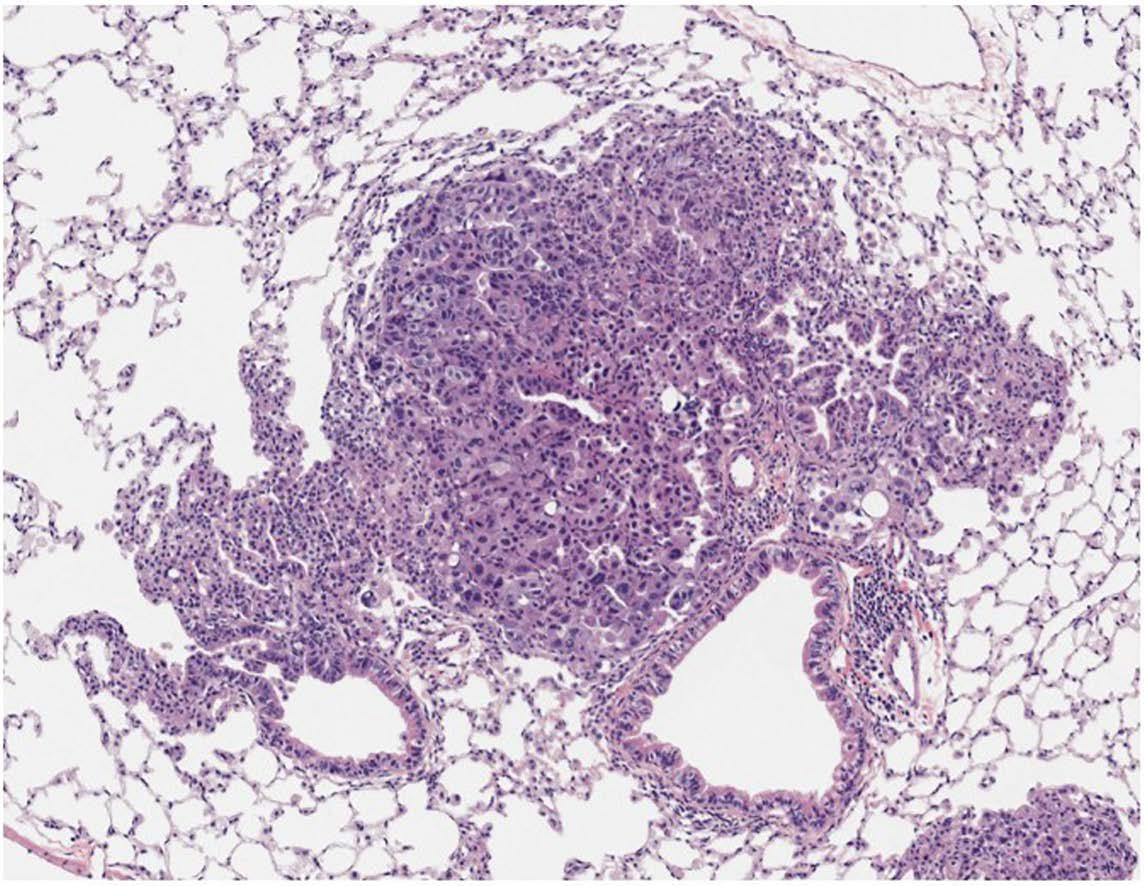
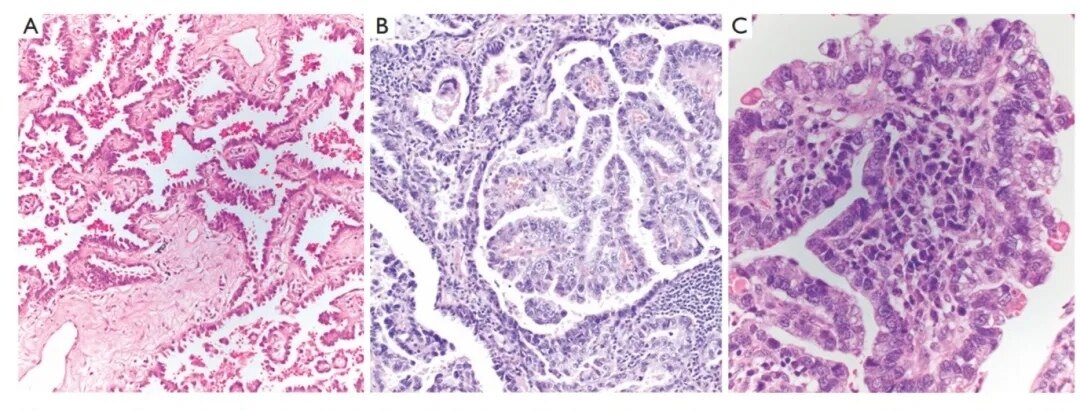
who将浸润性肺腺癌按照生长方式分为5型:附壁型(a),腺泡型(b),乳头型
图片尺寸1027x862
磨玻璃结节早期肺腺癌病理诊断中的问题与探讨 - 好大夫在线
图片尺寸400x320
非小细胞肺癌病理切片图(speakinghealth.com)
图片尺寸550x282
肺癌血染色切片
图片尺寸1144x886
早期肺腺癌病理诊断若干问题
图片尺寸589x489
肺癌 分型 - 华夏病理网论坛
图片尺寸1280x719
肺癌切片
图片尺寸505x331
和欧洲呼吸学会(ers)公布的肺腺癌国际多学科分类标准:在病理学方面
图片尺寸1649x1216
国际多学科肺腺癌新分类ppt
图片尺寸1080x810
衡道丨干货肺腺癌的诊断体系浸润性肺腺癌
图片尺寸1080x700
磨玻璃结节早期肺腺癌病理诊断中的问题与探讨 - 好大夫在线
图片尺寸400x320
早期肺腺癌的不同病理分型-矛盾与挑战
图片尺寸1080x469
图:肺腺癌和肺鳞癌的高危组和低危组的病理表现
图片尺寸479x579
经治疗临床症状消失,但肺下叶实变灶不消失,手术切除,镜检如图所示
图片尺寸435x326
早期肺腺癌术后,病理报告浸润性腺癌,乳头型为主,需要基因检测吗?
图片尺寸1080x411