肺裂

赵忠祥因肺鳞状细胞癌去世肺癌凶猛我们能做些什么
图片尺寸640x752
气管与肺:让你哭到撕心裂肺那个人,是你最爱的那个人;让你笑到没心没
图片尺寸710x686
右肺有斜裂和水平裂,左肺则有斜裂.接下来我们来探讨一下肺裂.
图片尺寸640x505
一网打尽肺叶间附属裂
图片尺寸1080x608
(一)肺的体表投影 1前界,下界 前界, 前界 2肺裂 肺裂 3肺根 肺根
图片尺寸1080x810
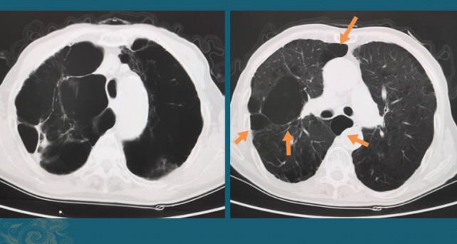
多出来的肺裂,你认识几个?
图片尺寸667x1000
多出来的肺裂,你认识几个?
图片尺寸1000x332
随后到武汉肺科医院进行复查,经大夫诊断为肺大疱破裂发生气胸,所幸
图片尺寸1000x474
多出来的肺裂你认识几个
图片尺寸1080x439
右肺有斜裂和水平裂,左肺则有斜裂.接下来我们来探讨一下肺裂.
图片尺寸640x539
听着那近乎撕心裂肺的哭泣声,我们手术组也是很无奈,命运就是这么不
图片尺寸640x489
肺及肺段解剖
图片尺寸920x690
肺大泡有哪些症状?该怎样治疗?
图片尺寸641x343
意淋巴结清扫术,术中见:胸腔有无粘连(位置,占胸腔的比例)肺裂发育2/3
图片尺寸680x488
气管, 切割缝合器夹闭并通气确认无误后离断(图 5) ;最后 处理肺裂
图片尺寸1420x592
中医:秋冬皮肤乾裂 补血比补水更重要
图片尺寸683x1024
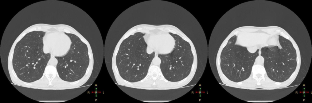
双肺容量增大,血管影减少.在肺裂处可见胸膜增厚或瘢痕.
图片尺寸603x478
外科|医生|组团|华西医院|胸腔镜|肺叶|技术|-健康界
图片尺寸346x297
小肺裂和大肺裂积液患者的胸部x光检查
图片尺寸704x704
左肺下叶在正位与侧位的投影区域
图片尺寸640x464